진오비 산부인과

제목: 태아 수신증(콩팥에 물이 차는 병)의 원인과 치료 [프린트]

글쓴이: 심상덕    시간: 2013-06-04 13:07
제목: 태아 수신증(콩팥에 물이 차는 병)의 원인과 치료
임신 중에 태아의 콩팥에 물이 차는 경우가 있는데 이런 것을 "수신증"이라고 하며 "신우 확장증"이라고도 부릅니다.
수신증은 여러가지 원인으로 발생하며 그 정도에 따라 태아의 건강에 큰 위협이 되는 경우도 있고 크게 걱정하지 않아도 되는 경우가 있습니다.
이런 수신증의 정도는 정상인 0부터 신우(콩팥에서 소변이 모이는 가운데 부분)의 경미한 확장이 있는 Grade I, 신우의 중등도 확장이 있는 Grade II, 신우와 신배(콩팥에서 소변이 흐르는 통로 깔대기)의 확장이 있는 Grade III, 신장 실질의 두께가 50% 이하로 감소된 심각한 상태인 Grade IV까지로 나누어 집니다.

그 원인 중 생리적인 확장을 제외하고 병적인 경우로는 요관신우이음부 폐색이 50%를 차지하고 후부요도판막, 다낭성신 등이 나머지 50%의 원인을 차지합니다.
이런 태아 시기의 수신증은 대부분 자연적으로 호전이 되기 때문에 치료나 수술이 필요한 경우는 많지 않습니다.
다만  신장 기능이 지속적으로 감소되거나 요로 폐쇄가 확실하거나 혹은 반복적으로 요로 감염이 발생하는 경우에는 수술을 해야 합니다.

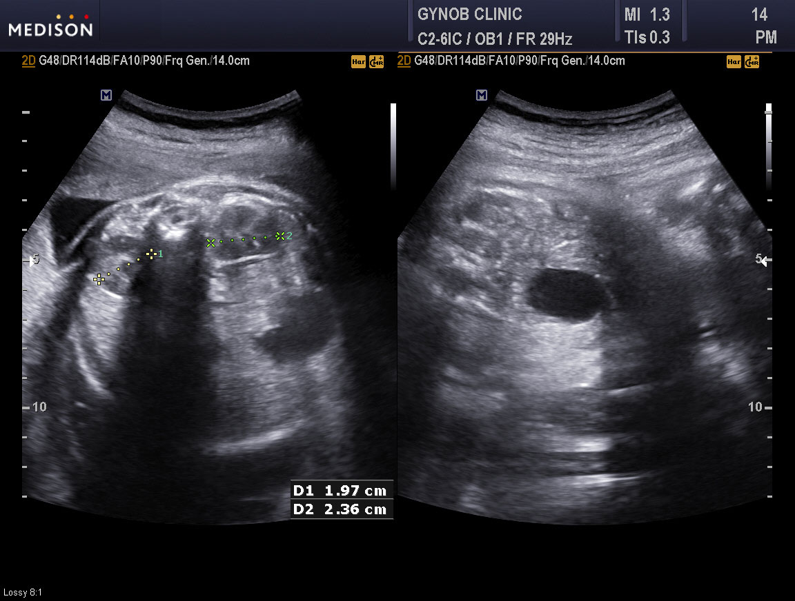
아래는 성균관 의대 (삼성 서울 병원 산부인과) 김문경 교수등이 2009년 대한산부인과 초음파 학회지에 발표한 관련 논문의 내용을 발췌한 것이니 참고하시기 바라며 사진은 저희 병원에서 찍은 초음파 사진으로 좌측은 정상 콩팥의 초음파 소견이고 우측의 까만 동그라미가 방광입니다.



연구취지:
태아의 신우확장증은 산전초음파에서 발견되는 가장 흔한 기형 중 하나로 전체 임신의 약 2-5.5%의 빈도로 발생하는 것으로 알려져 있다. 이것은 요로 계통의 기계적 혹은 기능적 폐쇄에 의해 나타날 수 있으며, 원인으로 가장 흔한 것은 생리적인 신우 확장(Physiologic pelvic dilatation)이며 요관신우이음부 폐색(ureteropelvic junction dilatation), 선천성 큰 요관증(congenital megaureter), 다낭성 신(multicystic kidney), 방광요관역류(vesicoureteral reflux), 그리고 후부요도판막(posterior urethral valves) 등이 있다. 그러나 경미한 신우확장증의 경우, 다수에서 요로계 폐색과 관련이 없고 임신 기간 중 또는 출생 후에 자연 소실되는 경향이 있다.
산전초음파가 널리 이용되어 태아 신우확장증의 발견이 많아짐에 따라, 부모의 불안감이 커지고 나아가 이로 인해 의료비가 상승함을 고려할 때, 저절로 좋아지는 신우확장증과 병적인 신우확장증을 조기에 감별하는 것이 중요하다. 이는 또한 수술적 교정을 요하는 폐색성 요로 병변의 조기 수술을 가능하게 함으로써 신기능의 보전에도 도움이 될 것으로 보인다.
이에 대해 산전 진단된 신우확장증의 자연 경과 및 예후 예측 인자에 대하여 많은 보고가 있어왔고, 국내에서도 태아 신우확장증의 임상 결과에 대한 여러 연구가 있었으나 대부분이 출생 후 예후에 대한 내용이었고, 임신 기간 중 확장된 신우의 일련의 변화에 대한 자료는 부족한 실정이다. 이에 본 연구에서는 임신 20-22주에 중기 선별 초음파에서 태아 신우확장증을 진단 받은 임산부들을 대상으로 산전초음파 검사와 생후 추적 검사를 통하여 신우확장증의 자연 경과 및 예후를 알아보고자 하였다.


국문요약
목적: 
임신 중기 선별초음파에서 발견된 태아 신우확장증의 임상 경과에 대해 알아보고자 하였다.

연구 대상 및 방법: 
연구는 2007년 1월부터 2008년 12월까지 삼성서울병원에서 임신 중기 선별초음파에서 태아 신우확장증을 진단 받은 임산부를 대상으로 하여, 임신 2분기와 3분기, 그리고 출생 후 에 초음파로 추적 관찰한 후향적 연구이다. 신우확장증은 신우의 전후경이 임신 중기(20-22주)에는 4mm 이상, 임신 3분기 초(28-30주)에는 7mm 이상, 임신 후반기(37주 이후)와 출생 후에는 10mm 이상인 경우로 정의하였다. 임신 중기 신우 확장의 정도에 따라 두 군으로 나누어, 신우 전후경이 4-6mm인 경우를 경고, 6mm 이상인 경우르 중등도 이상으로 분류하였다.

결과: 
연구 기간 중 임신 중기 선별초음파 검사를 시행 받은 2,579명 중 태아 신우확장증은 93명(3.6%)에서 발견되었다. 임신 3분기 초에 지속적인 신우확장증은 14.3% 에서 보였고, 나머지 85.7%는 정상화 되었다. 그러나 임신 후반기까지 지속적인 신우확장증을 보인 경우는 6.4%에 불과했고, 이들은 출생 후에 최종 수신증으로 진단받았다. 임신 중기에 중등도 이상의 신우 확장을 보였던 경우에 경도의 신우 확장을 보였던 경우와 비교해 임신 3분기 초[47.1% (8/17) vs. 6.0% (4/67),  p<0.01]와 임신 후반기)23.5% (4/17) vs. 1.6% (1/61), p<0.01]까지 신우확장증으로 지속되는 빈도가 유의하게 높았다.

결론: 
임신 중기 선별초음파 검사에서 진단된 대부분의 신우확장증은 일시적 소견으로 보인다. 그러나, 임신 중기에 6 mm 이상의 신우 확장을 보인 경우는 지속적인 신우 확장과 출생 후 수신증을 조기 발견하기 위해 추적관찰이 필요하다.




환영합니다. 진오비 산부인과 (http://gynob.kr/) Powered by Discuz! X3.2