진오비 산부인과

제목: 초음파로 보는 태아 비뇨기 이상에 대하여 [프린트]

글쓴이: 심상덕    시간: 2013-03-18 23:41
제목: 초음파로 보는 태아 비뇨기 이상에 대하여
태아의 콩팥은 보통의 복부 초음파를 통해서는 이르면 임신 14주 정도에 그리고 일반적으로는 임신 18주 정도에 관찰이 됩니다.
소변은 임신 첫 삼분기 말경(임신 14주 정도)에 생성되기 시작합니다.
그래서 태아 방광은 임신 두번째 삼분기 초에 관찰이 됩니다.
태아 소변은 임신 20주 무렵에는 시간당 5ml 정도 생성되다가 임신 40주 무렵에는 시간당 50ml 정도 생성되고 태아 방광은 매 20분에서 45분마다 비워집니다.
따라서 태아의 방광이 잘 안 보이는 경우 이삼십분 후에 관찰하면 별 문제가 없다면 대개는 관찰이 가능합니다.

양수의 양은 태아의 콩팥의 기능이 정상적인지를 반영하며 태아의 비뇨기 계통의 이상이 있으면 양수 과소증이 생깁니다.
따라서 양수양이 정상이라는 것은 최소한 한쪽 콩팥과 요관의 기능은 정상이라는 것을 의미합니다.
임신 후반기의 양수의 대부분은 태아 소변으로 구성이 됩니다.
아래는 태아의 콩팥 이상의 발생 빈도와 대표적인 콩팥 이상에 관한 간단한 설명입니다.

태아의  콩팥 이상 중 각각의 이상이 차지하는  빈도

수신증, 수뇨관증 38%
낭성 신질환 18%
방광 요관 역류 12%
일측성 신 무형성 또는 형성 부전 7%
요관 중복 6%
요도 밸브 4%
양측 신 무형성증 3%
기타 12%

1. 폐쇄성 요증 (Obsructive uropathy)
요관 방광 접합부 폐쇄나 방광 요도 폐쇄로 발생하는 데 폐쇄의 정도에 따라 증상이 달라집니다.
20주까지는 콩팥 신우(Pelvis)의 앞뒤 직경은 1cm 이하가 정상이며 신우와 콩팥과 앞뒤 직경비는 1/2 이하가 정상입니다.
막힌 부위가 콩팥에서 가까운 부분이면 수신증 (Hydronephrosis)이 동반되어 콩팥의 신우가 커지고 말단 부위이면 콩팥과 요관 모두 늘어나서 수신 요관증 (Hydronephrouretrosis)라는 것이 됩니다.
이런 폐쇄성 요증으로 오랜 기간 방치되면 콩팥의 기능이 손상을 받기 때문에 증상이 심할 경우 자궁 내에서 태아를 수술하는 태아 치료를 하기도 하고 조기 분만 후 내시경 수술등을 통하여 교정을 하기도 합니다.

2. 신 무형성증 (Renal agenesis)
한쪽이나 양쪽 콩팥 모두가 형성되지 않는 기형입니다.
양쪽 콩팥 모두 형성이 되지 않는 신 무형성증은 4000 출생아당 1명 정도로 그리 흔한 이상은 아닙니다.
양쪽 신 무형성증의 경우 심한 양수 과소증이 발생하며 이런 태아의 경우 태아는 자궁 내에서 또는 출산 직후 거의 사망하게 되는데  폐 형성 장애, 사지 기형, 피부 장애, 심장 이상이 동반되는 경우가 많습니다.
초음파 상에서는 정상적으로 보여야 할 콩팥이 보이지 않는 것으로 진단하지만 간혹 콩팥 옆의 부신이 커져서 콩팥으로 오진이 될 수 있으며 때로는 콩팥의 골반강 내 등 다른 곳에 위치하는 이소신(Ectopic kidney)와 혼동이 될 수 있습니다.
그러나 한쪽 콩팥만 형성 장애인 경우에는 콩팥의 기능이 정상이라면 태아의 생존에는 큰 문제는 없습니다.

3. 낭성 신질환 (Cystic renal disease)
요관의 폐쇄가 발생한 시점과 중증 정도에 따라 이차적 낭성 변화의 정도가 결정되는데 심하게 장기적으로 영향을 콩팥의 실질 부위가 낭성 변화를 일으키게 됩니다.
증상이 심한 경우에는 여러 크기의 물혹이 콩팥 실질(Cortex) 내에서 관찰되며  덜 심할 경우 아주 작은 물혹이 발생하여 초음파 상에서는  전체적으로 에코 정도가  상승하여 정상 콩팥에 비하여 하얗게 나타나게 됩니다.

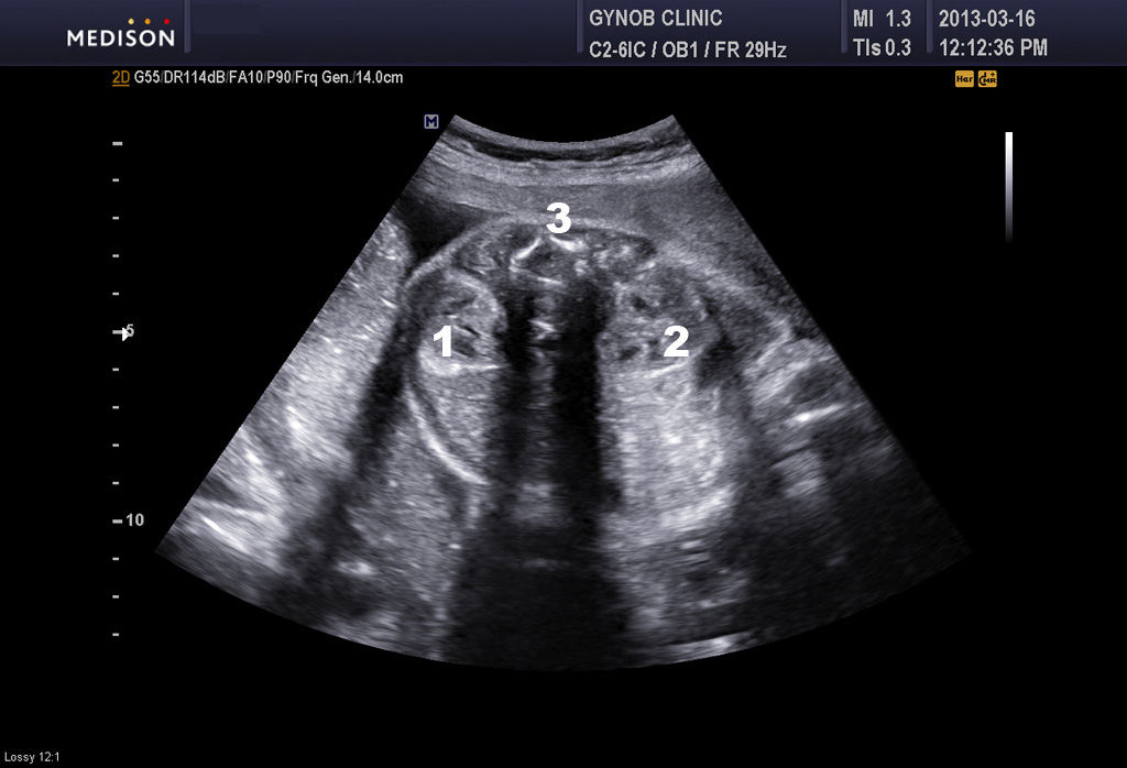
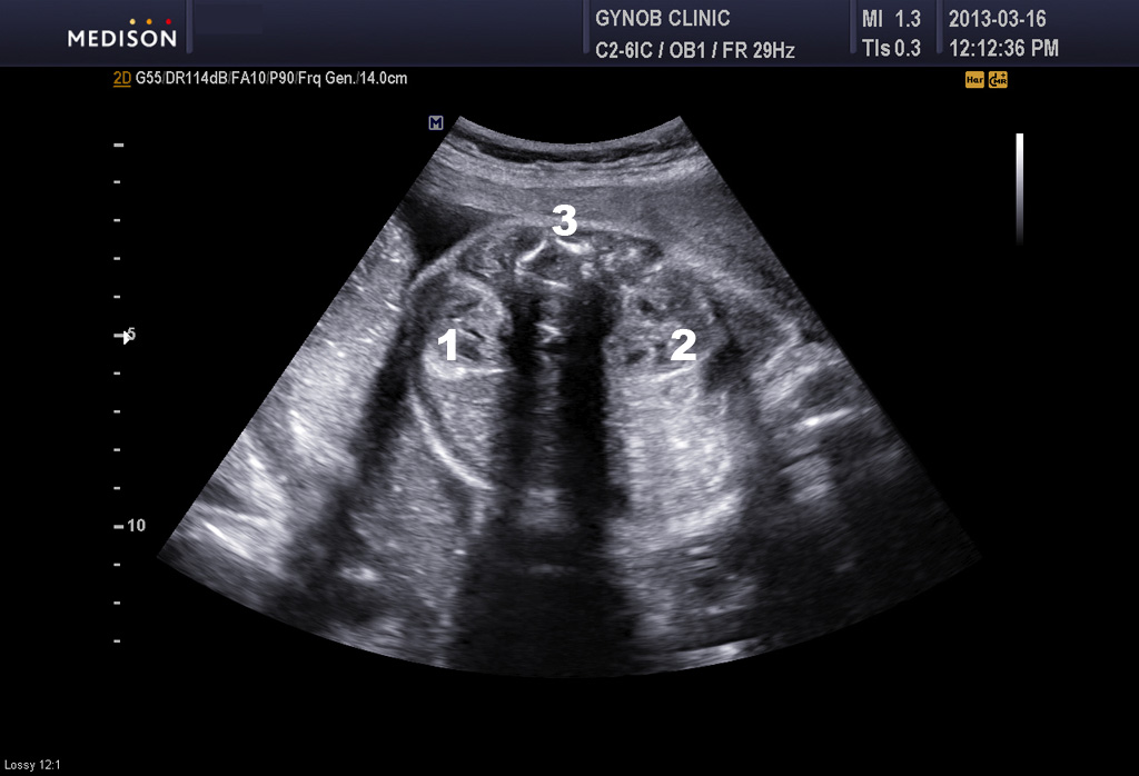
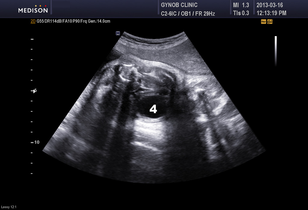
아래 사진은 본원에서 찍은 초음파 사진으로 콩팥과 방광의 정상 모습입니다.
1번과 2번은 좌우측 콩팥이며 3번은 척추 4번은 방광입니다.








환영합니다. 진오비 산부인과 (http://gynob.kr/) Powered by Discuz! X3.2