진오비 산부인과

제목: 모OO 난임수첩 - 인공수정 임신을 축하드립니다. [프린트]

글쓴이: 김지연    시간: 2013-04-15 10:41
제목: 모OO 난임수첩 - 인공수정 임신을 축하드립니다.


오랫동안 기다리셨던 아가 찾아 왔습니다.
인공 수정 임신을 축하드립니다.
진오비 직원 모두 정말 축하드립니다.

- 진오비 산부인과 불임센터 -
글쓴이: 김지연    시간: 2013-04-15 10:45
정말 오랫동안 저희와 함께 했는데 이쁜 아가가 찾아 왔네요..
진심으로 축하드립니다.
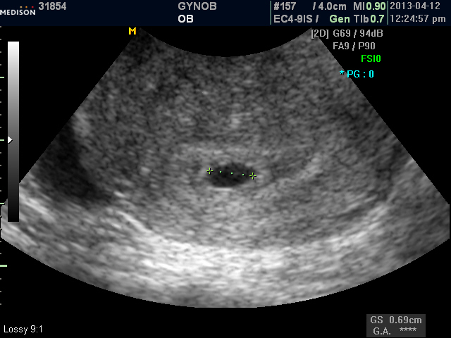
며칠 전에 초음파로 아기집을 확인하시고 "선생님, 되었어요.." 하고 저희 손을 잡아 주실 때 정말이지 눈물이 왈칵 쏟아지더군요..
제가 오히려 고맙다라는 말을 하고 싶었는데..
오랫동안 포기 하지 않으시고 저희와 함께 해주셔서 감사합니다.
이제 아가 보러 오신다고 생각하니 기분이 한결 더 좋습니다.
태교 잘 하시고 저희 병원에서 이쁜 아가 모습 보여 주세요..
글쓴이: 천서영    시간: 2013-04-15 11:46
정말정말 진심으로 축하드립니다!!
집에 가셔서 맛있는거 드시구요 배우자분과 함께 행복하셨으면 좋겠스니다
진심으로 축하드려요~!
글쓴이: 한경희    시간: 2013-04-15 12:21
임신을 축하드려요.. 혈액채취 할때마다 여러번 바늘을 찔르게 되어서  죄송했는데.. 임신확인하는 반가운 소식으로 채혈을 하게 되어서 기뻤어요~~ 엄마분은 아직도 실감이 안 난다고 하셨는데 조금 지나시면 실감하실 거에요~~뱃속 아기와 함께 언제나 행복한 시간이 되셨으면 좋겠어요~~정말 축하드려요^^
글쓴이: 이수진    시간: 2013-04-15 18:27
축하드립니다. 소중한 아기를 만나기까지 엄마의 많은 고난이 있었죠? 정말 너무나 축하드려요.
제 마음 속 깊숙한 곳부터 뭔가 뜨거운 감정이 일어나는 걸 보면 엄마는 더 하시겠죠?
앞으로가 더욱 중요하니 No 스트레스~ 언제나 긍정적인 생각으로 지내시길.. 다음 산전진찰때 뵈요!:D
글쓴이: 오현경    시간: 2013-04-18 00:02
소중한 아기천사, 만나신걸 축하드려요.
속상해하던 그해가 지나고, 다시 만난 엄마를 보고는 참 반가웠어요.
병원이란곳이 자주 만나면 좋지않은곳이지만,
이렇게 기쁜소식으로 자주 만날수 있다니 저 역시 신이 납니다.

태교도 잘하시고, 건강하고 씩씩한 아기 맞이하는 그 순간에
저도 함께 였으면 해요.

엽산 잘 챙겨드세요. 우리 곧 만나요 :)




환영합니다. 진오비 산부인과 (http://gynob.kr/) Powered by Discuz! X3.2