사랑과 믿음으로 염원하시던 김OO님께서 임신에 성공하셨습니다.
진오비 가족 모두 진심으로 축하드립니다.
진오비에서 출산 하는 모습도 꼭 뵈었으면 좋겠습니다.



- 난임환자의 소망을 함께 이루는 진오비산부인과 난임 클리닉 -
#2 심상덕 등록시간 2013-03-26 13:04 |이 글쓴이 글만 보기
임신 축하드립니다.
난임으로 고민이 많았을텐데 임신이 되셨다니 다행입니다.
앞으로 잘 관리하고 조리하시어 순산까지 하시게 되길 바랍니다.
#3 천서영 등록시간 2013-03-27 15:03 |이 글쓴이 글만 보기
임신 축하드립니다^^
소식을 듣자마자 너무 기쁨에 환호를 쳤답니다 ㅎㅎ
다시한번 축하드립니다 ㅎ:lol
#4 김지연 등록시간 2013-03-27 15:14 |이 글쓴이 글만 보기
복직해서 첫째가 아장 아장 걷는 모습을 보아서 좋았는데 둘째도 한번에 임신 되셔서 제가 너무 행복합니다.
태교 잘 하시고 저희 병원에서 분만하는 모습 보았으면 해요....
다시 한번 임신 축하드려요..
5# 한경희 등록시간 2013-03-27 15:24 |이 글쓴이 글만 보기
임신을 축하드려요^^ 언제나 웃는 얼굴이 보기 좋았었는데 이렇게 반가운 소식을 듣게 되어서 넘 기쁘네요..
오빠가 될지 형이 될지는 아직 모르지만 튼튼하고 건강하게 잘 컸으면 좋겠어요~~:D
6# 배유진 등록시간 2013-03-27 15:50 |이 글쓴이 글만 보기
진심으로 축하드려요:)
기다리시던 귀한 생명, 밝은 빛 볼 때 까지도 저희 진오비가 함께 하길 바래요!
7# 오현경 등록시간 2013-03-28 14:14 |이 글쓴이 글만 보기
임신소식에 기뻐하며 진찰다니시고 출산하신지가 얼마 되지않은것 같은데,
다시한번 기쁜소식을 함께 나눌수 있어 좋습니다.

건강한 아기, 출산하시길 두손 모을게요 :D
8# 이수진 등록시간 2013-03-30 13:47 |이 글쓴이 글만 보기
토막글에 엄마 닮은 이쁜 아가가 찾아왔으면 좋겠다고 썼는데 .. wow!
언제나 수줍은 듯한 환한 미소를 가진 엄마의 긍정적인 모습이 모르긴 몰라도 임신에 큰 영향을 끼치셨을꺼예요!
혹여 모를 불청객 초기 입덧때도 조심히 잘 견뎌내시길 바래요! 축하드려요~
9# 한경희 등록시간 2013-04-05 12:28 |이 글쓴이 글만 보기
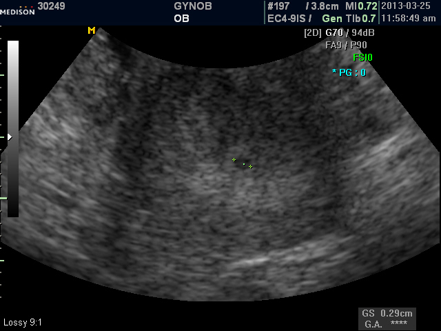
오늘 초음파를 보셨는데 두개의 아기집이 자리잡고 있네요..두 아기집 다 심장소리가 들려서 너무 벅찼어요.. 엄마는 아직 쌍둥이가  실감나지 않으신가 봐요..  건강하게 두 아기 다 잘 컸으면 좋겠어요~~^^
10# 김지연 등록시간 2013-04-05 12:56 |이 글쓴이 글만 보기
오늘 담당 간호사 분 한테  쌍둥이라는 말을 듣고 제가 오히려 기뻤습니다.
엄마는 힘이 두 배로 드시겠지만...얼마나 이쁠지 상상히 안갑니다.
난임 센터 실장으로써 정말 보람을 느끼게 해 주셔서 제가 오히려 감사하다는 말 전하고 싶습니다.
몸 관리 잘 하세요..

스마트폰 모드|진오비 산부인과

© 2005-2026 gynob clinic

빠른 답글 맨위로 목록으로 돌아가기