사랑과 정성으로 소망 하신 임신을 축하드립니다.
그 동안 마음 고생 많으셨습니다.
진오비 직원 모두 진심으로 축하드립니다.

- 진오비 산부인과 난임 센터 -
#2 김지연 등록시간 2013-04-05 10:28 |이 글쓴이 글만 보기
정말 축하드립니다.
오실 때마나 웃는 얼굴로 오셔서 아마도 이쁜 아가가 오려고 여태 기다렸나 봅니다.
항상 저희 한테 고맙다고 말씀해 주시고...
아무쪼록 몸 건강히 태교 잘 하시고 저희 병원에서 이쁜 아가 모습 보여주세요..
다시 한번 축하드려요.
#3 이수진 등록시간 2013-04-05 12:02 |이 글쓴이 글만 보기
아기를 만나게 된 것을 축하드립니다.
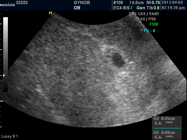
확대된 저 초음파 사진속의 아주 조그만 아기집만 봐도 신기하시겠지만! 아기의 심음이 들리면 더욱 가슴이 벅차실꺼예요.
초기에는 엄마가 입덧때문에 힘들 수도 있고,  특별한 이상 없이 그냥 얼떨떨 하실 수도 있지만, 증상이 있던 없던 엄마의 따뜻한 뱃속에는 아가가 자리잡고 있다는 것을 항시 잊으면 아니 아니 아니 됩니다! 엽산제도 꼭 잘 챙겨드시고, 하고 계시는 일이 있다면 저희 최안나원장님이 자주 하시는 말씀이 있어요 "하던일의 절반을 줄여야합니다"
아기와 엄마의 소중한 인연이 제가 있는 분만실까지 닿길 바래요 +ㅁ+:victory:
#4 한경희 등록시간 2013-04-05 12:20 |이 글쓴이 글만 보기
어제 오셔서 아기집 확인하셨는데 ㅎㅎ 너무  좋아하시는 엄마를 보니  힘들게 생긴 아기인 만큼 예쁘고 건강하게 잘 컸으면 좋겠어요.. 무럭무럭 자라 여기서 분만하시는 모습도 보고 싶구요~~ㅎㅎ ^^
5# 천서영 등록시간 2013-04-05 13:03 |이 글쓴이 글만 보기
임신이 되신걸 다시한번더 축하드립니다 ㅎㅎ
임신이 되셨다는 사실을 딱 아셨을떄 그 행복한 얼굴 아직도 잊을수없습니다.
피검사 하실떄 아기집이 안보이셨는데 아기집이 보이고 아기가 보이면서 심장이 뛰면
그걸 듣느 저의도 가슴이 몽클 뭉클 한답니다.
건강한 아이를 잘키워서 순산까지 하시고 이쁜아가를 낳으셨으면 좋겠습니다^^
6# 오현경 등록시간 2013-04-05 20:16 |이 글쓴이 글만 보기
수줍은듯한 얼굴로 마주하던 시간들이 흐르고,
이제는 종종 외래에서 얼굴을 뵐때면 엄마얼굴이 훨씬 환해졌음을 느낍니다.

건강한아기, 태교 잘하시어 출산까지 저희와 함께하길 소망합니다.

엽산 잘 챙겨드시고, 먹고싶은것들은 참지말고 남편 졸라 드셔보기도 하세요:D
전 이게 가장 부럽다는, 헤헤

또 뵈요!!!

스마트폰 모드|진오비 산부인과

© 2005-2025 gynob clinic

빠른 답글 맨위로 목록으로 돌아가기