(아래는 한국 유방 건강 재단과 한국 유방암 학회에서 펴낸 "굿바이! 유방암"이라는 책자의 내용 중 "1~2년마다 X선 촬영만 해도 조기발견 가능성 커"라는 제목의 글입니다.)



유방암을 효과적으로 치료하기 위해선 정확한 진단이 필수적이다.
양성 유방질환의 경우, 불필요한 수술을 피할 수 있고 유방암일 경우, 신속하고 효과적인 치료법을 계획할 수 있다.
유방암 정기 검진법은 의사에 의한 이학적 검사, 유방 촬영술 및 유방초음파가 기본이다.

유방 촬영술(Mammography)
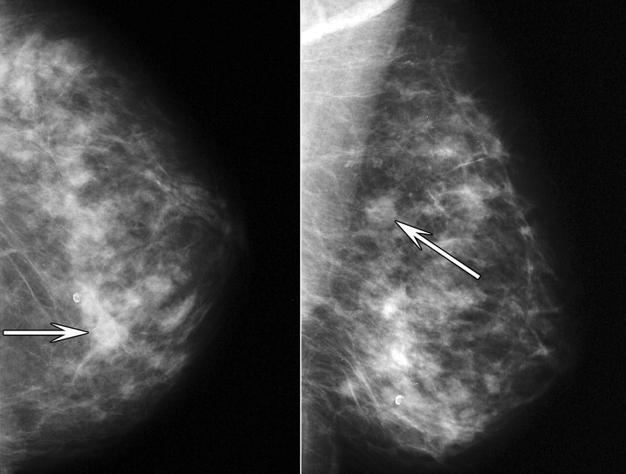
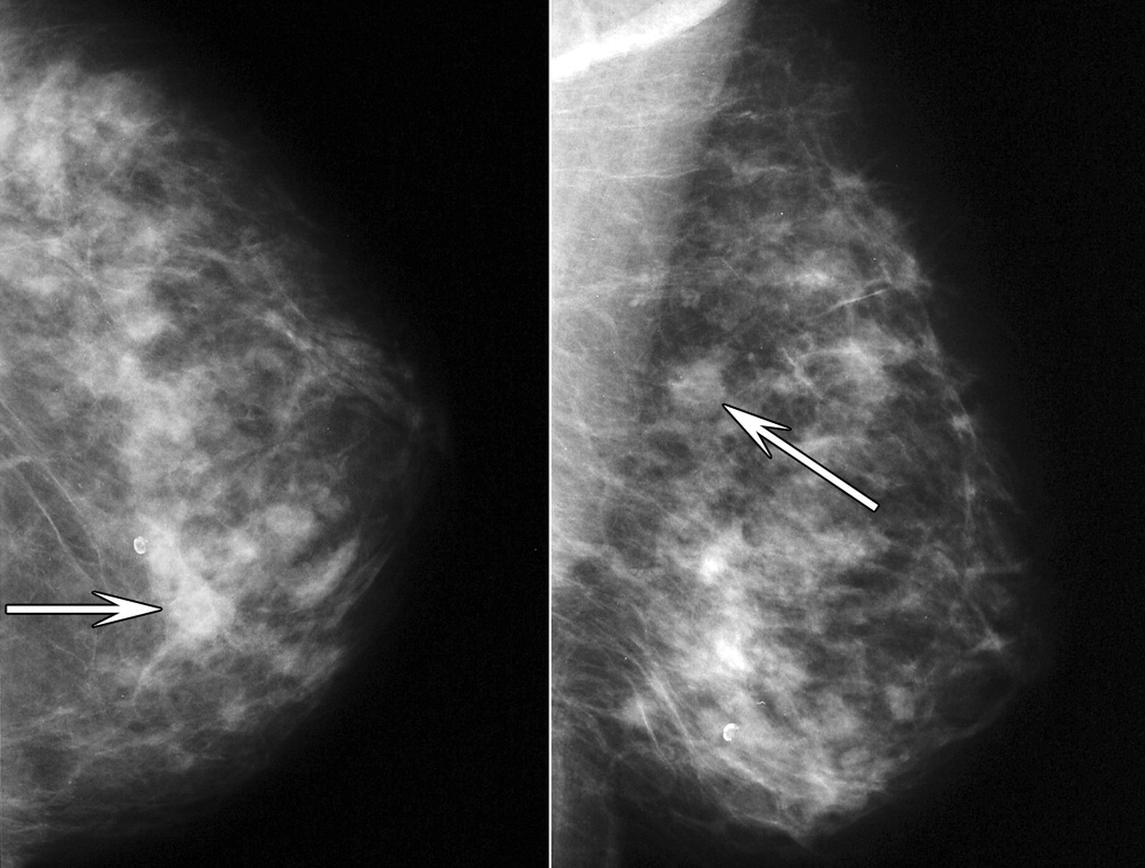
단순 X선을 이용하는 것으로, 모든 유방 질환을 발견하고 진단하는데 가장 기본적인 검사다.
병변의 유무를 쉽게 알 수 있을 뿐만 아니라 만져지지 않는 석회화 병변을 발견하는 데에도 가장 효과적이다.
매년 혹은 1~2년 간격의 정기적인 유방촬영술만으로도 유방암을 조기발견할 가능성이 높다.
유방촬영으로 관찰되는 석회화 소견은 매우 다양해서 유방암이 아닌 경우가 많지만, 0기 유방암이나 초기의 유방암은 혹을 만들지 않고 석회화만 보이는 경우가 있으므로 반드시 유방전문의와 상의해야 한다.
유방암이 의심되는 석회화 병변의 경우, 유방초음파나 MRI(유방자기공명영상)와 같ㅇ느 정밀검사를 필요로 하며 조직검사를 시행하는 것이 원칙이다.

- 유방촬영술은 손쉽게 시행 할 수 있고 1만원 정도의 비용만이 소요되는 경제적인 방법이다.
- 하지만 소량이더라도 방사선을 사용하므로, 너무 자주 촬영하기보다는 1~2년에 한번씩 시행하는 게 보통이다. 다만 석회화 병변 등의 변화를 관찰하기 위해 3~6개월 간격으로 촬영하는 경우가 있다.
- 임신 중 유방촬영이 태아에 미치는 영향은 아직 확실하게 드러나진 않았지만 가급적이면 피하는 것이 좋다. 임신 중에는 초음파검사를 시행하는 것이 안전한 방법이다.
- 유방촬영술은 유선 조직이 발달하고 지방조직이 적은 30세 이하의 여성들에게 도움이 되지 않을 수도 있다. 왜냐하면 젊은 여성들은 하얀 음영으로 보이는 유선조직과 까만 음영으로 보이는 지방 조직의 대조가 상대적으로 부족해 정확한 병소의 존재 여부를 알 수 없으므로, 자가 검진을 하거나 전문의 진찰을 받는 게 더 정확할 수 있다.
- 유방암의 발생 빈도가 낮은 30세 이하 여성의 경우, 정기적인 유방촬영술은 비효율적이고 비경제적이므로 유방암 검진을 적극 추천하지 않는다. 다만 유방암의 가족력이 있고 특히 유전성 유방암의 가능성이 있는 고위험군의 경우는 예외다.

유방 초음파(Ultrasonography)
장점
- 모유를 만드는 유방조직과 공기, 지방, 물, 금속이나 석회화 병변만을 감별할 수 있는 유방 촬영술과 달리, 정상 유선조직의 형태를 구별하고 복합적인 유방 병소의 특징을 감별할 수 있다.
- 유방촬영술로 발견할 수 없는 작은 병변을 발견할 수 있고 병변이 딱딱한 혹인지, 체액을 포함한 물주머니(낭종, cyst)인지의 여부를 정확히 파악할 수 있다.
- 유방의 크기가 작거나 유선 조직이 발달해 지방 조직이 상대적으로 적고, 유방 촬영을 했을 때 흑백 대조가 잘 안되는 경우를 '치밀유방'이라고 한다. 이 경우 병소의 특성을 감별해 조직검사가 필요한지를 판단하거나, 숨어있는 병소를 찾을 때 유방초음파가 많은 도움이 된다.

단점
유방촬영으로 관찰되는 석회화 병변을 유방초음파로는 정확히 진단할 수 없는 경우도 있다. 따라서 유방촬영과 유방초음파는 서로 대치할 수 있는 검사법이 아니라 상호보완적인 검사법으로 동시에 시행하면 도움이 되는 경우가 많다. 유방촬영술의 결과, 병소가 의심되는 곳을 중점적으로 탐색할 때 유방초음파의 효과가 극대화된다.

조직검사
유방촬영술과 유방초음파는 병변의 존재 여부를 알 수 있지만 병변의 실물이 아닌 그림자를 보는 방법이다.
많은 경우 전문의 진찰과 유방촬영술, 유방초음파 소견으로 유방암을 진단할 수 있지만 유방암의 확실한 진단은 병리 조직학적으로만 가능하다.
이는 세침 흡입세포검사, 침생검, 직접 수술을 하는 외과적 조직검사로 구분할 수 있다.
유방암의 정확한 진단은 결국 전문의의 진찰 소견, 유방촬영술과 유방초음파를 이용한 방사선학적 소견, 조직학적 소견을 종합한 3중 검사에 의해 이루어진다.

1) 만져지는 유방 병변
- 가는 주사 바늘을 이용하는 세침흡인검사(fine needle aspiration biopsy)는 자궁경부암 검사와 비슷한 검사로, 세포 모양으로 유방암을 감별하는 검사다.
- 침생검(core needle biopsy)은 굵은 바늘을 이용해 세침흡인검사보다 많은 조직을 얻어내는 방법으로, 조직의 양이 상대적으로 많아서 0기 진행성 유방암을 형태학적으로 구별할 수 있는 장점이 있다.
- 언론 보도로 유명해진 맘모톰(Mammotom)은 침생검 방법의 하나로 사용되는 제품으로, 특정 회사의 상품명이다.
작은 양성 병변의 경우, 환자가 원하면 맘모톰을 이용해 반복적 시술로 완전 절제를 시도할 수 있으나 4cm 이상의 큰 병변에는 출혈 등의 위험이 있고 시간이 많이 걸리므로 외과적 절제술을 시도하는 것이 보다 합리적이다.
맘모톰으로 혹을 절제한 후 조직검사 결과 유방암이 조금이라도 의심되면 반드시 외과적 절제술을 시행해 정확히 진단해야 한다. 이 경우에는 유방암 수술을 준비한 후 한 번에 완벽한 시술을 해야 한다.

2) 만져지지 않는 유방 병변
유방촬영술로 비촉지성 유방 병변을 진단했을 경우, 맘모톰은 상대적으로 많은 조직을 얻을 수 있는 장점이 있다.
하지만 유방암이 의심되는 경우, 맘모톰을 이용하여 진단에 그치지 않고 전체 병변을 모두 절제하려는 시도는 위험하다.
조금이라도 유방암의 가능성이 있을 경우에는 유방촬영술과 유방초음파를 이용해 정확한 위치를 파악하고 수술을 하는 것이 안전하다.
유방암의 가능성이 낮은 경우는 3~6개월의 기간에 유방촬영술과 유방초음파 검사를 반복하여 병변의 변화를 지켜보는 방법을 많이 사용한다.

유방자기공명영상(MRI)
- 다발성 유방암이나 유방암의 병기 결정에 주로 사용되는 검사법으로, 특별한 경우 이외에는 잘 사용되지 않는다.
- 유방촬영술과 유방초음파 검사로 특성을 파악하기 어려운 병소가 여러개 있을 때 조직검사를 해야하는지를 판단할 수 있다.
- 실리콘 혹은 파라핀 등의 이물질을 유방에 주입한 경우에는 유일한 검사법이다. 유방에 미용 목적으로 삽입된 식염수 백(bag)이 파열됐는지를 진단할 때 이용되고, 유방 성형수술을 받은 사람들에게 이용된다.
- 유방암 발생의 위험도가 높은 젊은 여성을 검진할 때 이용되기도 하지만 40만~50만원의 비용을 고려할 때 경제성과 효율성에 대해서는 아직 결론이 나지 않은 검사법이다.

유관조영촬영술
모유를 유두로 나르는 길인 유관 안에서 발생하는 작은 혹이나 병변은 만져지지 않으며 유방촬영술로도 보이지 않는경우가 많다.
유방초음파로 작은 유관 안의 병변을 확인할 수 있는 경우도 있지만 유관 안에 조영제를 넣고 유방촬영을 하는 유관 조영촬영술로 병변이 있는 지의 여부와 위치를 확인할 수 있다.

본 글은 아래 보관함에서 추천하였습니다.

스마트폰 모드|진오비 산부인과

© 2005-2026 gynob clinic

빠른 답글 맨위로 목록으로 돌아가기