임신 8주 된 태아의 초음파 사진을 제대로 감상하는 방법을 설명드리겠습니다.
초음파 사진에서 살펴 볼 부분은 당연히 태아의 모습이겠지요.
산모와 가족들이 가장 관심있어 하시는 부분도 그것일테구요.
그러나 임신 8주 정도의 초기에는 아직 아기가 쌀알 보다 조금 큰 정도이기 때문에 인간의 형체가 또렷하지는 않습니다.
그저 머리와 몸통 부분만 형성되어 있는 상태이지요.
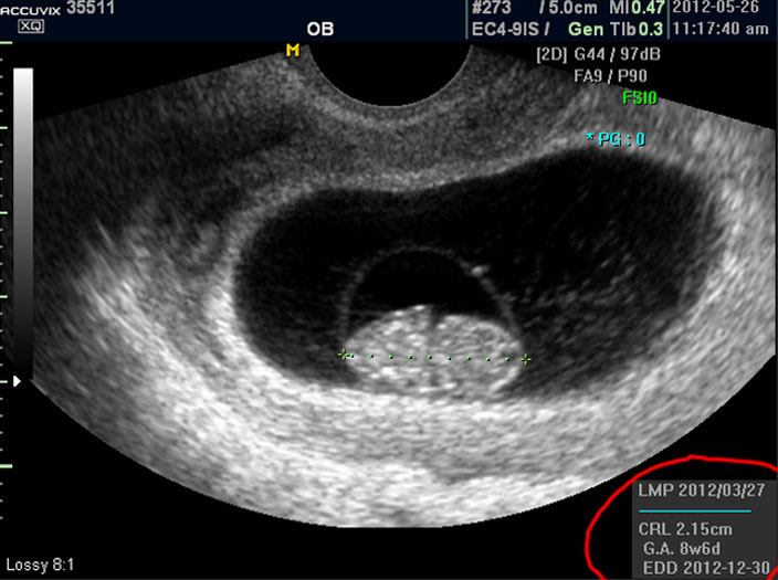
우선 첫번째로 보이는 사진에서 가운데 하얗게 보이는 것이 태아입니다.



우측이 머리 부분이고 좌측이 몸통 부분이며 초기 임신에서는 아기 머리가 몸통의 반정도로 상당히 큰 상태입니다.
그리고 초음파 검사에서는 산전 초음파 이외의 다른 경우도 그렇지만 물에 가까운 성분일수록 검게 나오고 뼈처럼 단단해서 초음파 선이 투과하지 못하는 부분은 하얗게 나타납니다.
이는 투과 선은 다르지만 X 레이 검사 사진에서도 마찬가지입니다.
따라서 하얗게 보이는 태아 주변의 검은 부분은 양수입니다.
이 양수의 양은 아기의 건강과 밀접한 관련이 있기는 하지만 그 절대적 양을 측정하기는 어려워서 몇군데 부위를 체크하여 많은지 적은지를 판단합니다.
물론 임신 중기 이후 양수 과소증이나 양수 과다증이 의심될 경우이며 일반적으로는 1차원적으로 봤을 때 양수의 가장 긴 길이가 태아 크기의 2배에서 4배 정도의 길이를 차지하지만 이 길이나 양은 임신 주기에 따라 다르기 때문에 정확한 것은 아니며 또한 임신 말기로 갈수록 상대적으로 양수의 양이 줄어듭니다.
양수는 태아의 소변으로 만들어지고 태아가 폐나 위로 흡수해서 소멸하기 때문에 항상 변동이 되는 부분입니다.  

양수 바깥의 조금 회색으로 보이는 얼룩덜룩한 부분이 아기를 품고 있는 자궁이며 근종이나 기타 이상은 없는지 체크하지만 여기서는 산과 부분만 설명하기로 했기 때문에 따로 설명드리지 않습니다.

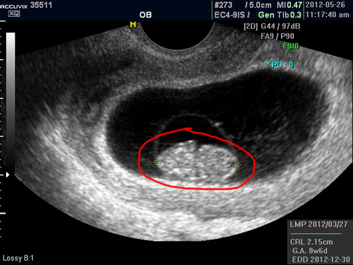
태아의 크기는 우측 하단에 실제 크기가 나와 있지만 아래 사진에서 빨갛게 표시한 부분의 안에 보이는 눈금이 1cm입니다.



이런 기준이나 지표들이 표시되는 것은 초음파 장비마다 조금씩 차이가 있고 위치도 다르지만 대개 비슷한 모양이라 한가지를 알면 다른 기종에서도 감상에 그리 어렵지는 않습니다.
참고로 저희는 국산 장비인 메디슨의 고급 기종인 아큐빅스라는 장비를 사용하고 있습니다.

마지막으로 볼 것은 아기의 정보를 나타내 주는 수치들입니다.



으로 우측의 LMP라고 된 숫자는 산모의 최종 월경일이며 이는 초음파로 판단한 것이 아니라 산모의 진술을 바탕으로 한 것인데 이것이 중요한 이유는 초음파는 그저 크기만을 알아 내는 것이라 임신 주수에 걸맞게 잘 자라는지 판단하려면 월경 주기를 알아야 하기 때문입니다.
그 아래 보이는 CRL이라는 것은 Crown Rump Length의 약자로 아기의 머리부터 엉덩이 끝까지의 실제 길이입니다.
임신 12주 내지 13주 정도의 초반기의 아기 발육은 주로 아기의 전체 크기를 가지고 판단하는데 엉덩이까지 체크하는 이유는 흔히 태아는 다리를 구부리고 있기 때문에 성인 인간처럼 머리끝부터 발끝까지 실제 키를 재기가 어렵기 때문입니다.
그 아래 GA 는 Gestational Age의 약자로 우리말로는 태령이라고 하며 초음파의 CRL을 기준으로 했을 때 어느 시기의 태아의 수준인가를 말해 주는 것입니다.
따라서 산모의 LMP를 기준으로 한 태령과 초음파로 측정한 태아의 태령은 1주 정도의 오차로 비슷한 것이 정상이며 간혹 최종 월경일을 틀리게 알고 있거나 아기의 발육에 문제가 있을 때는 큰 차이가 날 수 있습니다.
맨 아래의 EDD는 Estimated Due Date의 약자로 출산 예정일을 말하는데 초음파를 기준으로 했을 때 이정도 시기가 출산 예정일이 될 것이라는 계산입니다.
그러나 이것은 어디까지나 초음파로 예상한 시기이며 실제 출산은 앞뒤로 2주 씩의 오차가 있을 수 있습니다.

상기 이미지는 정지 이미지이기 때문에 심장 움직임과 같은 것은 설명해 드리지 못했지만 이 시기에 중요하게 확인해야 할 점의 하나는 심장 박동의 유무와 횟수입니다.
태아의 심장 박동은 성인보다는 매우 빨라서 보통 분당 120회에서 160 정도 되는 것이 정상입니다.

스마트폰 모드|진오비 산부인과

© 2005-2025 gynob clinic

빠른 답글 맨위로 목록으로 돌아가기