양수는 태아를 안전하게 보호하는 역할 뿐 아니라 태아가 흡입하여 폐성숙을 돕는 작용 등 태아에게 있어 매우 중요한 부분입니다.
이 양수는 아기의 소변으로 만들어지고 아기가 위를 통해 소화 흡수하여 없어지면서 일정한 수준을 유지하게 됩니다.
따라서 양수는 지나치게 많아도 좋지 않지만 일정 수준 이하로 떨어지는 경우에도 아기의 건강에 상당한 위협이 될 수 있습니다.
이렇게 양수가 지나치게 작은 경우를 의학적으로 양수과소증이라고 하는데 양수 과소증이 무엇이고 어떻게 대처하는지에 대하여 알려드리고자 합니다.
왜냐하면 양수 과소증의 원인을 알고 그에 따른 대처를 알아야 건강한 아기를 순산하는데 도움이 되기 때문입니다.

우선 양수 과소증을 초래할 수 있는 원인에 대하여 살펴 보면 양수는 정상적으로 만들어지는 양에서 부족하거나 아니면 없어지는 것이 지나치게 빠르거나 하기 때문으로 그 원인은 다음과 같은 것들이 있습니다

양수 과소증의 원인
1. 조기 파수
2. 태아 발육 부전증
3. 태아 신장 기형이나 요관 폐쇄등 비뇨기 이상
4. 태반 조기 박리증
5. 쌍태아에서의 상호 혈액 교환 현상
6. 태아 기형

그러나 위 원인 외에도 아직 원인이 알려지지 않은 경우들도 많은데 어떤 원인에 의한 것이든 이렇게 양수 과소증이 있으면 대체로 태아의 예후가 좋지 않습니다.
이는 양수 과소증을 초래한 원인 질환 때문이기도 하고 양수 과소증 자체가 태아에게 해롭기도 하기 때문입니다.
양수는 자궁 안에서 태아가 외부 환경으로부터 보호 받을 수 있는 완충 작용을 하기 때문입니다.
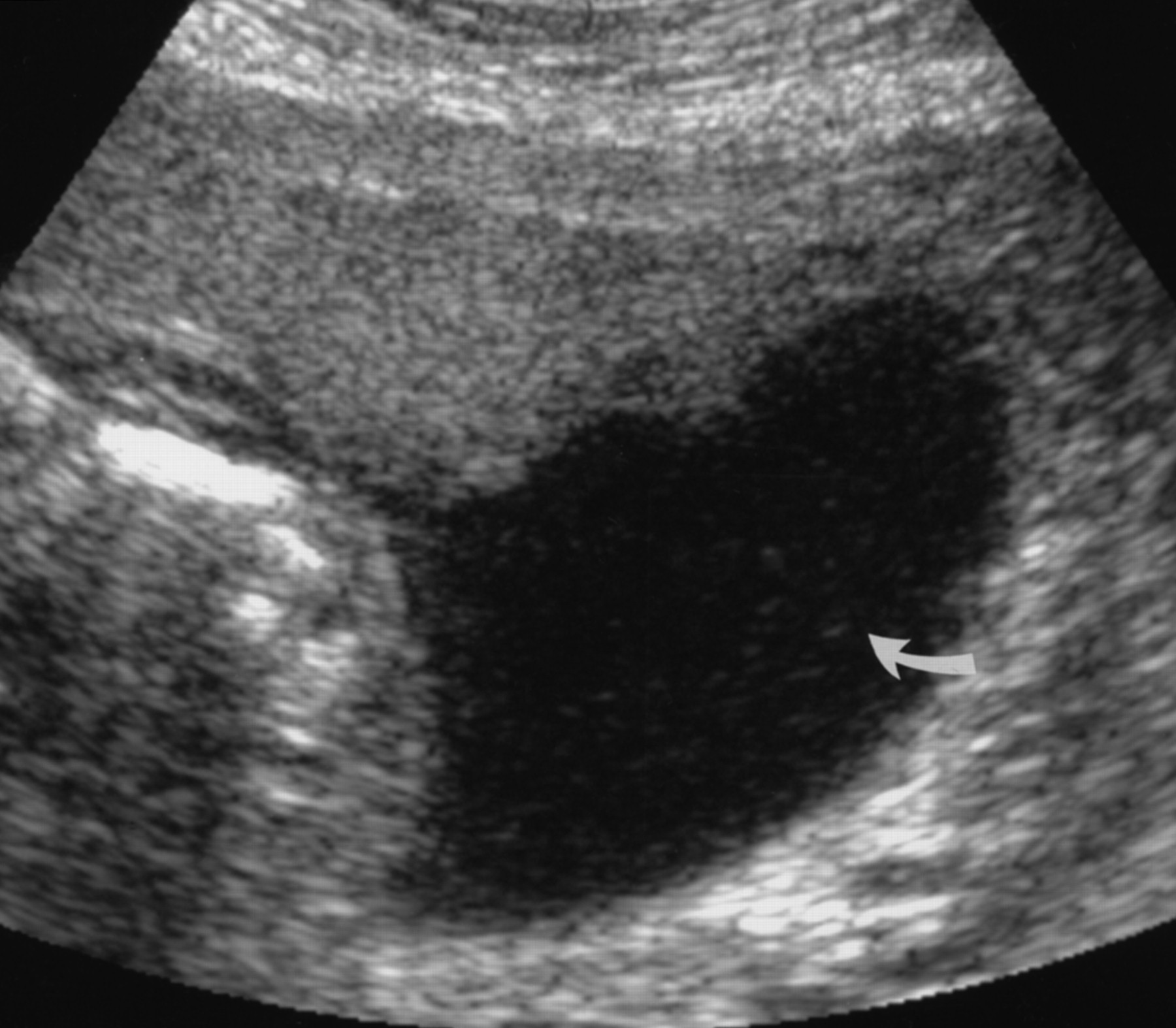
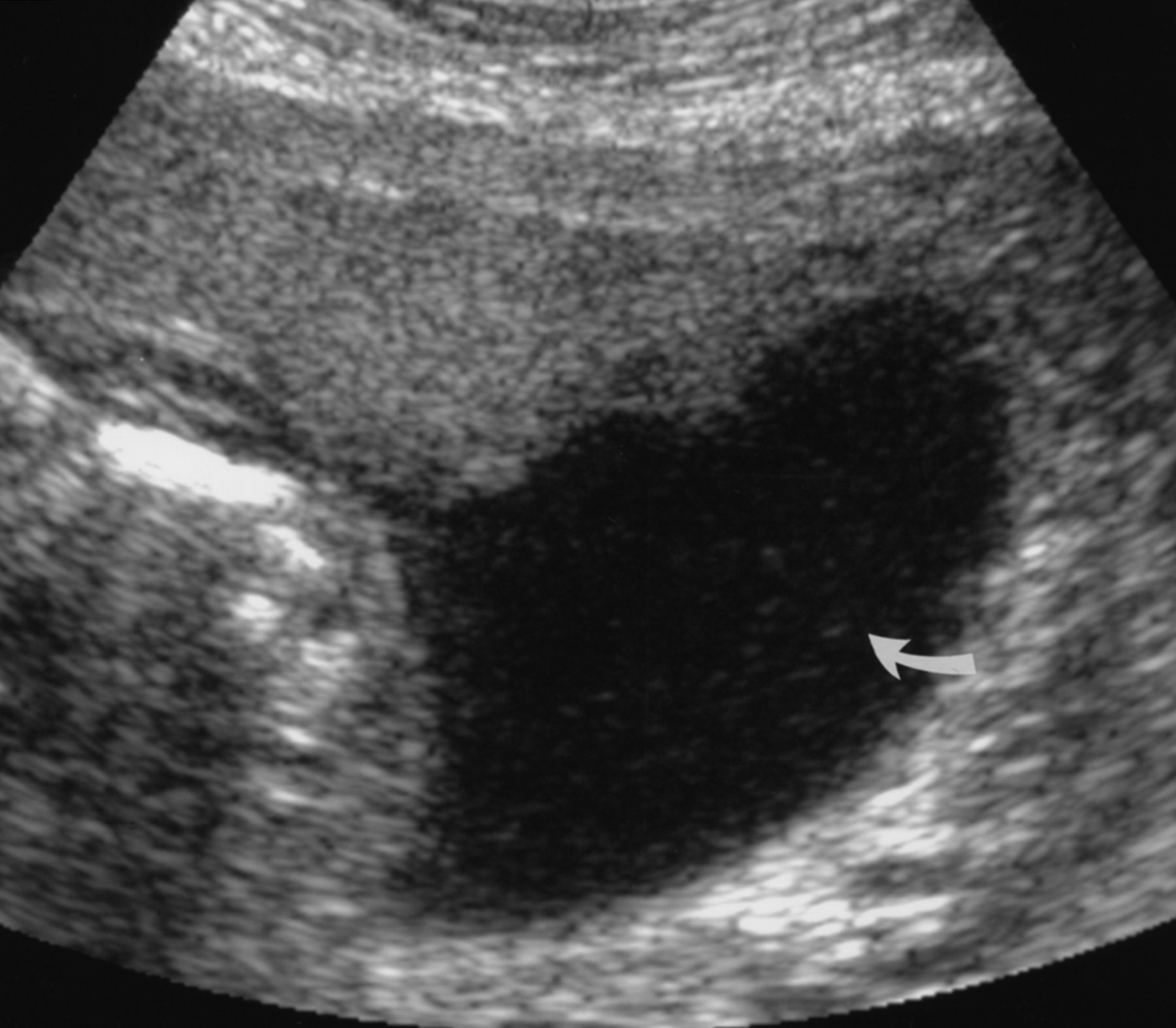
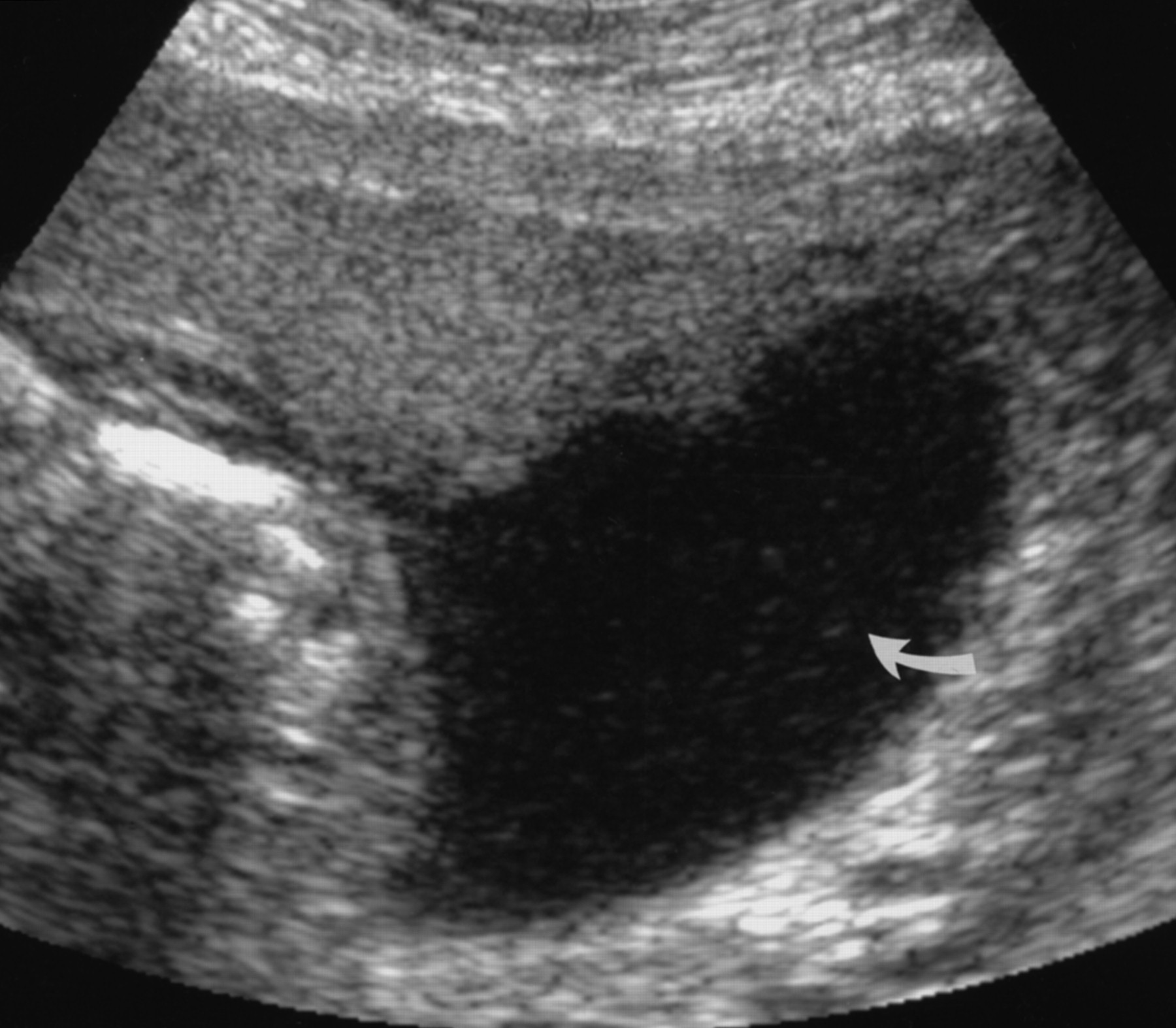
양수 인덱스 5cm 이하 (또는 가장 양수가 많은 곳의 깊이가 1 cm 이하)를 양수 과소증이라고 하는 데 양수 인덱스 수치 2 cm 이하인 경우는 심한 양수 과소증으로 부르는데 이때는 진통 중 태아 심박 저하 현상이 흔히 동반되기도 합니다.
또 양수가 적으므로 인해서 양막과 태아 사이의 공간 부족으로 사지 절단증과 같은 심한 기형이나 club foot 처럼 되는 족부 이상이 초래될 수도 있습니다.
또 양수는 폐성숙을 돕기도 하며 전해질 균형에 관여한다거나 하여 태아의 생물학적 항상성을 유지하는 데 있어서 중요하기 때문에 태아에게 양수란 산모로부터 받는 혈액 못지 않게 중요한 것이라고 할 수 있습니다.

그렇다면 양수 과소증이 있는 경우 대부분 유도분만이나 제왕 절개를 고려 하여서라도 조기 분만을 시키는 것이 필요할 듯한데 이에는 전제 조건이 있습니다.
1. 우선 정말 양수 과소증이 있는가 하는 것
2. 호전이 되지 않는 양수 과소증인가 하는 것
3. 마지막으로 양수 과소증으로 인한 손해가 조기 분만을 시키는 것보다 더 큰가 하는 것
입니다.

위의 질문에 모두 예라고 답할 수밖에 없는 상황이라면 조기 분만을 시키는 것이 원칙이라고 할 수 있습니다.
그 경우 우선적인 선택은 유도 분만이 될 것입니다.
이런 경우의 유도 분만은 특히 초산인 경우 제왕 절개로 연결되는 경우가 많은 것은 사실입니다.
그러나 분만의 방법을 선택하는 기본적인 지침을 고려한다면 수술을 하게 될 위험이 높다고 해서 유도분만을 거부하는 것은 올바른 판단이라고 할 수 없습니다.
분만 방법을 선택하는 데 있어서 가장 간단하게 기준으로 할 수 있는 것은 더 위험에 처해 있는 대상을 좀 더 배려한다는 원리입니다.
즉 자연 분만을 시도 했을 때 산모나 태아가 받을 위험 부담의 기대치와 제왕 절개를 했을 때 산모와 태아가 받을 위험 부담의 기대치를 비교해서 결정을 한다는 것입니다.
대부분의 양수 과소증에서 자연 분만을 시도 했을 때 태아가 위험에 노출되어 유병율이나 사망율이 높아질 가능성에 대한 기대치는 제왕절개로 인해서 산모나 태아가 받을 위험 부담에 비하여 상대적으로 훨씬 큰 경우가 많습니다.
따라서 대부분의 양수 과소증은 제왕 절개를 해야 하는 경우가 많고 다행히 아주 심한 양수 과소증이 아니고 태아의 발육이나 운동성, 호흡운동 등 양수의 양 이외에 태아의 건강을 평가하는 다른 지표들이 비교적 양호하고 자궁 경부의 상태가 만족할 만한 수준이면 면밀한 관찰 하에 유도분만을 시도할 수 있습니다.
그러나 조기의 분만으로 특별히 얻는 득이 없거나 호전되는 양수 과소증인 경우, 지나치게 조산인 경우, 또 양수 과소증이 있는 지 없는 지 확실하지 않을 경우에는 당연히 기다려 보는 것이 원칙입니다.

본 글은 아래 보관함에서 추천하였습니다.

스마트폰 모드|진오비 산부인과

© 2005-2026 gynob clinic

빠른 답글 맨위로 목록으로 돌아가기