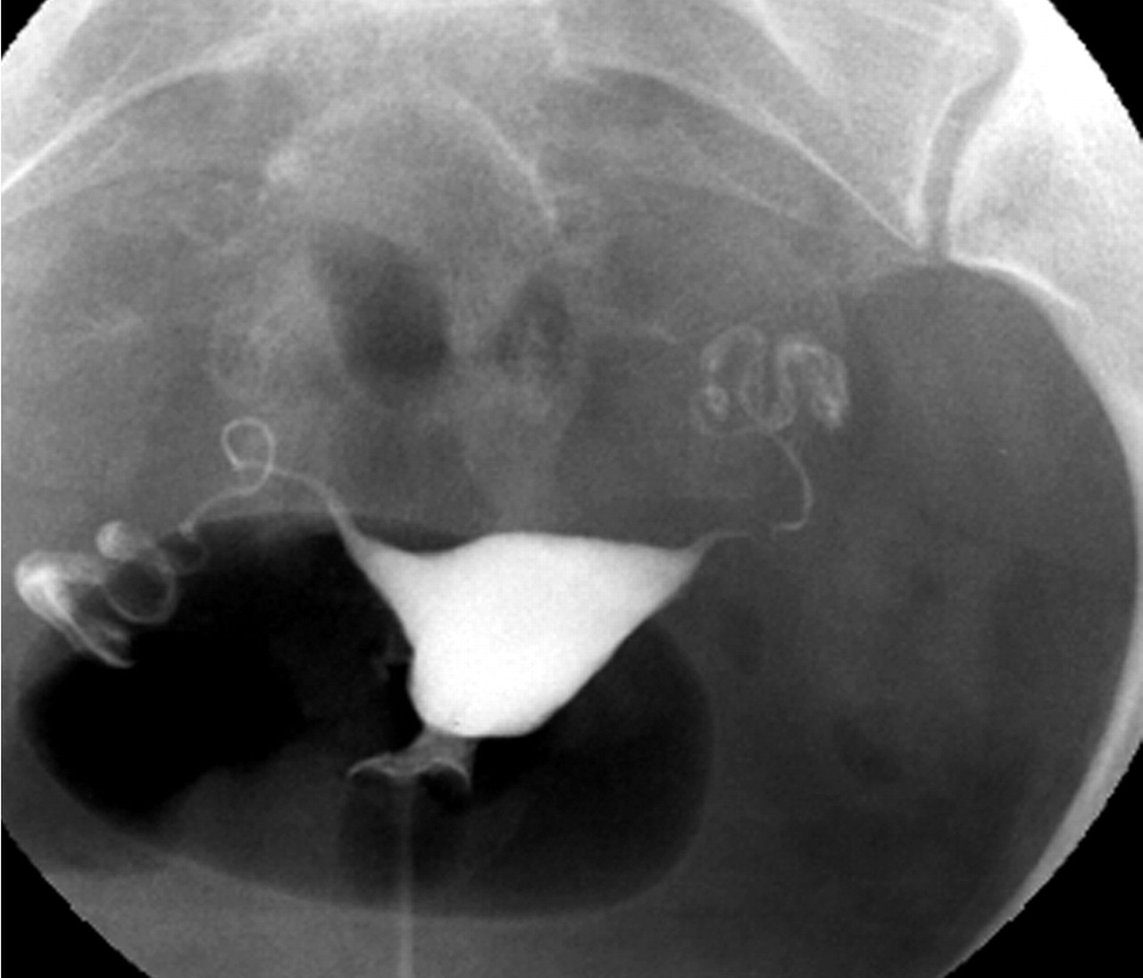
자궁경관에서 자궁강내에 조영제(造影劑)를 주입하고 자궁경관과 자궁강의 크기와 형상, 난관의 소통성, 골반복막의 상황, 유착의 유무, 난소종양의 유무 등을 X-선상(線像)으로 진단하는 방법이다.
⇒ 보통 자궁난관조영술은 자궁 및 난관(나팔관)에 조영제를 사용해서 자궁안쪽에 혹은 없는지 그리고 자궁의 크기나 모양은 괜찮은지 마지막으로 나팔관이 막혀있지는 않은지 등을 조영제를 사용해서 확인하는 방법이다.

사진을 보면 더 정확하게 알 수 있습니다.



사진을 보시면 자궁경부 입구  주사기 안에 들어 있는 조영제를 순차적으로 점점 밀어 넣게 됩니다.
그래서 만일 나팔관이 막혀 있지 않다면 자궁안을 채우고 난 이후 나팔관으로 순차적으로 조영제가 빠져 나가는 것이 확인이 되겠지만, 만일 자궁에 혹이 있는 경우엔 그 부분이 검게 뚫어져 있을 것이고, 나팔관이 막혀 있다면 나팔관 바깥쪽으로 조영제가 빠져 나가질 않을 것입니다.


그림1. 정상 나팔관 모습          그림2. 한쪽 나팔관이 막혀 있는 모습

검사 시기
월경이 끝난 직후 이면서 배란이 되기 전, 대개 월경시작일로 부터 7일 째 실시합니다.

이런 환자는 주의 하세요.
골반염이 있는 경우에는 재발 또는 악화될 수 있으므로 하복통이 있거나 열이 있는 경우 미리 골반염 치료를 먼저 받으신 후 검사하여야 합니다.

자궁난관주영술 검사에서 정상으로 나오지 않으면 어쩌죠?
한 쪽 난관의 소통 상태만 좋아도 자연 임신은 가능하지만 양 쪽이 다 막힌 경우라면 체외수정(시험관아기)을 고려 해야 합니다.

hsg.jpg (144.03 KB, 다운수: 484)

hsg.jpg

댓글

글 올리느라 애썼어요. 앞으로도 종종 좋은 정보 부탁해요.  등록시간 2013-02-20 14:53

본 글은 아래 보관함에서 추천하였습니다.

스마트폰 모드|진오비 산부인과

© 2005-2026 gynob clinic

빠른 답글 맨위로 목록으로 돌아가기