정상적으로 태아가 성장하여 건강하게 출산되기를 기대하던 산모에게 있어서나, 건강한 아기의 순산을 돕고자 하는 의사의 입장에서나 갑자기 태아가 유산되는 것은 안타까운 일입니다.
특히 요즘은 노산 산모의 증가나 기타 여러가지 이유로  자연 유산의 발생 빈도가 높아지고 있어서 걱정입니다.
그래서 오늘은 그런 자연 유산의 원인은 무언지 어떤 치료 방법이 있는지에 대하여 간단히 말씀드리려고 합니다.

유산이란 임신 20주 이전에 어떤 원인에 의해서건 배아 또는 태아가 정상적으로 자라지 못하게 되어 자궁 내에서 사망하거나 체외로 배출되는 경우를 말합니다.
임신 4개월에서 5개월 무렵에 주로 유산되는  자궁 경관 무력증에 의한 유산을 제외하고는 이런 자연 유산의 80%는 임신 12 주 이내인 초기에 주로 발생합니다.
유산의  진단은 임신 증상의 소멸이나 질출혈로도 어느 정도 짐작이 가능한 경우가 있지만 최종적인 판단은 혈액 검사나 초음파 검사를 통하여 하게 되며 대개의 경우 초음파 검사로 확진을 하게 됩니다.
초음파 검사에서는 정상 임신으로 진단된 후 아기집 (태낭. G-Sac)이 보이지 않거나 평균 임신 주수에 비하여 아기집이 상당히 작을 때, 그리고 임신 8주 이후에 태아 심박동이 없는 경우에 유산일 가능성이 높다고 판단합니다.
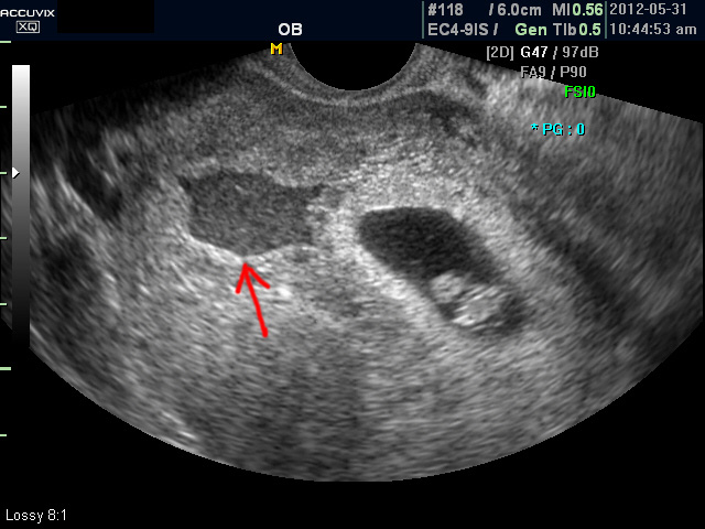
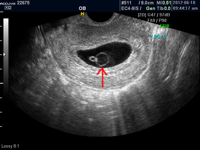
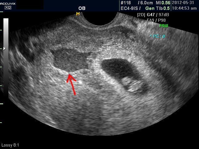
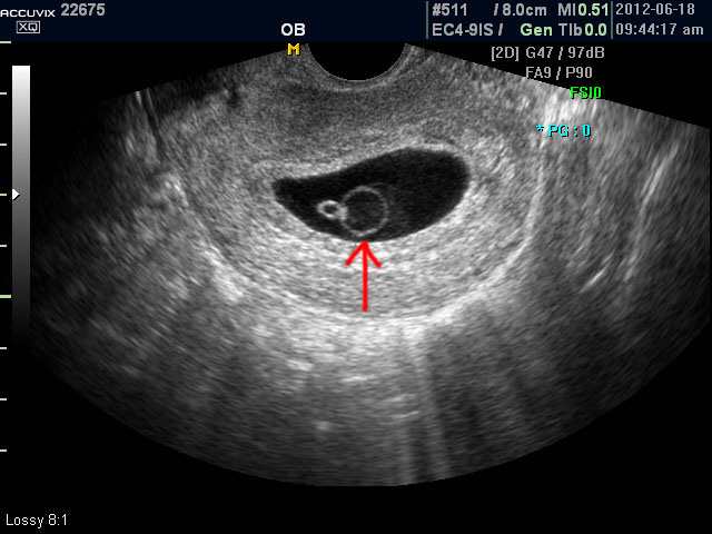
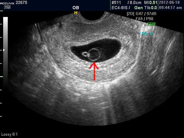
아래는 유산과 관련된 초음파 사진으로 위 사진은 유산기가 있다고 하는 경우 (의학적으로는 절박유산)의 사진이고 아래의 사진은 고사 난자라고 하여 태아가 정상적으로 형성되지 못한 유산의 사례입니다.





이런 자연 유산의 원인으로는 다음과 같은 것들이 있지만 원인이 밝혀져 있지 않은 경우가 50% 이상으로 대부분을 차지하고 있으며 밝혀진 원인 중에는 염색체 이상과 같은 유전학적 원인이 제일 많습니다.

자연 유산의 원인
1. 염색체 이상
2. 자가 면역 질환
3. 자궁의 이상 (자궁 근종. 자궁 내막 유착. 쌍각 자궁. 자궁 중격 등의 질환)
4. 자궁 경부 무력증 (임신 중기에 유산됨)
5. 호르몬 이상--당뇨병. 황체 호르몬 결핍. 갑상선 이상

의학적으로 유산에는 몇가지 종류가 있는데 그 분류는 아래와 같습니다.

1. 절박 유산
임신 20주 이내에 혈액이 섞인 질분비물이 있는 경우를 말하며 흔히 유산기가 있다고 말하는 경우입니다.
약 반수에서는 실제로 유산이 되며  유산이 되지 않고 임신이 지속되었을 경우 조기 분만이나 저체중아 분만, 주산기 사망의 위험이 높아지는 것으로 알려져 있지만 태아 기형의 빈도가 더 높지는 않습니다.
이런 절박 유산에서 치료는 침상 안정이 거의 유일한 치료이며  필요시 진통제를 쓰기도 하지만 흔히 유산 방지제로 쓰이는 황체 호르몬 공급은 의미가 없다고 합니다.
그리고 주기적인 초음파 관찰을 통하여 태낭과 태아의 발달을 확인해야 합니다.

2. 불가피 유산
자궁 경부가 1.5cm 이상 벌어진 상태로 양막이 파열된 경우를 말하는데 거의 대부분 유산이 되어 임신의 유지가 불가능합니다.
치료적 목적의 소파 수술이 필요합니다.

3. 계류 유산
자연 유산이 되면 태아나 관련 조직이 저절로 체외로 배출되는 완전 자연 유산이 있고 자궁 내에서 배아 또는 태아가 사망한 채로 1주 내지 2주 이상 잔류되는 경우가 있는데 그런 경우를 계류 유산이라고 합니다.
이런 계류 유산은 일정 시간 후 자연적으로 배출되는 경우도 있지만 그렇지 못한 경우 자궁내 감염이나 자궁 출혈의 위험이 높아져서 치료적 목적의 소파 수술이 필요한 경우가 종종 있습니다.

4. 습관성 유산
임신 20 주 전에 총 3번 이상 자연 유산이 되거나 연속 2번의 유산이 발생한 경우를 습관성 유산이라고 말하는데 대체로 임신 초반기보다는 임신 2분기에 주로 발생합니다.
염색체 이상이나 면역학적 원인이 개입되어 있는 경우가 종종 있기 때문에 재발 방지 및 치료를 위하여 부모 양측의 염색체 검사와 산모의 호르몬 검사, 감염 질환 검사 등이 필요합니다.
면역학적 이상의 습관성 유산으로 진단될 경우 치료는 저용량 아스피린이나 혈액 응고 억제제인 헤파린, 또는 스테로이드 호르몬제나 면역 글로불린 제제 단독 혹은 병용으로 사용하여 치료를 합니다.

유산으로 진단되면 즉시 적절한 치료를 받고 가능한 원인에 대하여 판단하고 재발을 방지하기 위한 치료를 고려하여야 합니다.
다행인 것은 대부분 1번 정도의 자연 유산은 다음 임신에서 재발되는 빈도가 높지는 않다는 점입니다.
유산 수술 후 빠르면 2주 후에도 배란이 되기 때문에 성관계를 하게 되면 유산 직후부터 바로 피임을 해야 하며 대략 한두달 정도는 피임을 하는 것을 권하고 있습니다.
그리고 유산이 되었다고 해서 너무 예민하게 받아들이고 우울해 하지 마시고 잘 관리하시어 다음에 건강한 아기를 임신하시도록 노력하시면 됩니다.

이 글에 좋아요를 표시한 회원

janine789 [2019-11-09 03:43]  

스마트폰 모드|진오비 산부인과

© 2005-2026 gynob clinic

빠른 답글 맨위로 목록으로 돌아가기