산전 진찰로 초음파 검사를 받다 보면 아기의 목에 탯줄이 감겨 있다고 듣는 경우들이 종종 있을 것입니다.
이런 경우 혹시 아기의 건강에 문제가 되는 것은 아닌지 어떤 의미가 있는 것인지 궁금해 하시는 분들이 있어서 간략하게 경부 제대륜에 대하여 알려드리고자 합니다.

경부 제대륜 또는 감겨진 제대나 목덜미 제대라고 하는 것은 태아의 목을 탯줄이 360도 완전히 감고 있는 경우를 말하는데 아시다시피 탯줄은 자궁 안에 있는 태아가 산모로부터 산소와 영양을 공급받는데 있어 매우 중요한 부분입니다.
태아가 양수 안에서 유영을 하면서 자세가 수시로 바뀌는 와중에 탯줄이 목에 감기어 되어 이런 경부 제대륜이 생기는 것으로 그 자체는 기능이든 형태든 태아의 건강과 관련하여 큰 문제는 아닙니다.
이 경부 제대륜을 최초로 의학계에 보고한 사람은 1962년에 영국의 크로포드 박사이며 그가 보고한 이래 지금껏 많은 보고들이 있어 왔고 분만 진통 중 탯줄에 일시적인 압박(조임) 현상이 발생하게 되어 출산시 태아가 위급한 상태에 빠질 수 있다는 보고들도 있지만 절반 정도는 분만 전에 저절로 풀어 진다고 합니다.
경부 제대륜은 보고자에 따라 조금씩 다르기는 하지만 적게는 전체 산모 중 6%에서 많게는 37%의 빈도로 발생한다고 알려져 있을만큼 그리 드문 현상은 아닙니다.
또한 경부 제대륜은 임신이 진행되면서 발생 빈도가 상승하는 경향인데  어떤 연구자는 임신 20주 시점에서 6%,  임신 42주 시점에서 29.0 % 정도라고 보고하기도 하였습니다.

경부 제대륜의 분류는 두가지가 있는데 탯줄이 그저 태아의 목을 360도 감싸고 있는 것을 타입 A라고 하고 엇갈려서 감겨 있게 되서 출산하면서 꼬여서 매듭이 지어지는 경우를 타입 B라고 하는데 타입 B는 저절로 풀어지지는  않지만 출산 전에 이 둘을 구분하기는 어렵습니다.
다만 경부 제대륜이 1회 감고 있는지 2회 감고 있는지 하는 것은 그리 구분하기 어렵지는 않습니다.

수많은 소급 데이터는 출산 시의 1회 또는 2회 이상의 경부 제대륜이 임신 후기의 태아나 신생아의 상태에 그다지 나쁜 결과를 초래하지는 않는다는 것을 보여주고 있습니다.
다만 탯줄이 타이트하게 감겨 있는 경우 신생아가 일시적으로 위급 상황을 보이는 경우가 있다는 보고들은 있습니다.

경부 제대륜을 분만 전에 달리 풀어줄 방법은 없으며 출산 때는 탯줄이 꽉 끼어 있지 않은 경우 분만하면서 풀어주면 됩니다.
그러나 탯줄이 너무 꽉 끼어 있어서 풀기가 어렵고 출산으로 인해 탯줄 당김이 심해질 경우 분만시 태아의 목이 노출될 때  탯줄을 자르고 클램프로 묶은 후 분만을 하기도 합니다.

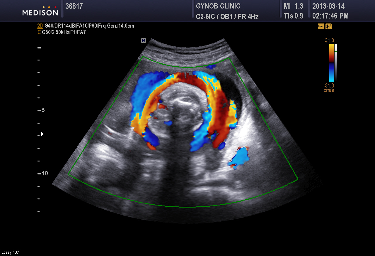
경부 제대륜의 산전 진단은 10여년전 일반 초음파만 있을 때는 진단율이 20% 수준에 머물렀지만 컬러 도플러 초음파라고 하여 탯줄의 혈액 흐름을 컬러로 살펴 볼 수 있게 되면서 진단율이  90% 수준으로 올라갔다는 연세대 산부인과 교수팀의 보고에서도 알 수 있듯이 요즘은 초음파를 이용하여 진단이 수월한 편입니다.
아래 사진은 저희 병원에서 찍은 컬러 도플러 초음파 사진으로 빨갛고 파랗게 보이는 부분이 탯줄이고 가운데 검게 둥그런 부분이 태아의 목을 수평으로 본 모습으로 1회의 경부 제대륜이 있는 모습입니다.



경부 제대륜과 관련하여 약간의 논란이 있는 부분은 분만 진통시 태아에게 끼치는 영향, 향후 신생아의 건강에 끼치는 영향에 관한 부분입니다.
경부 제대륜이 한번 감고 있는 경우까지는 괜찮다는 주장도 있고 두번도 문제 없다는 주장이 있는가 하면 한번 감은 것도 태아에게 악영향을 끼칠 수 있어서 세심한 관찰과 제왕절개를 포함한 적극적 대응이 필요하다는 주장도 있습니다.   
그런 점에서 참고가 되도록 1999년도에 류문근 교수등이 대한산부인과학회지에 발표한 논문의 요약을 아래에 실어 봅니다.

해당 연구에서는 만삭 분만한 산모 842명을 분석하여 경부 제대륜이 없는 산모를 제 1군, 1회의 경부 제대륜이 있는 산모를 제 2군, 2회 이상의 경부 제대륜이 있는 산모를 제 3군으로 하여 분만과정[비정상 태아심음, 태변착색, 응급 제왕절개술]과 신생아 예후[1분/5분 아프가 점수, 태아체중, 거대아, 제대혈 가스분석]를 살펴 보았다고 합니다.
연구결과는 다음과 같았습니다.

연구 결과
1. 경부 제대륜은 17.81%의 빈도를 보였다.
이중 경부 제대륜이 1회인 제 2군은 14.85% 그리고 경부 제대륜이 2회 이상인 제 3군은 2.96%의 빈도를 보였다.
2. 분만과정과 관련된 비정상 태아심음, 응급 제왕절개술, 태변착색의 빈도는 제 1군과 제 2군 사이에는 유의한 차이가 없었으나, 제 1군과 제 3군 그리고 제 2군과 제 3군 사이에는 유의한 차이를 보였다.
3. 신생아 예후에서 1분 아프가점수, 거대아의 빈도는 제 1,2군과 제 3군 사이에 유의한 차이를 보였으나, 5분 아프가점수, 태아체중에 있어서는 각 군에 유의한 차이가 없었다.
4. 제대혈의 가스분석에서 pH는 제 1,2군과 제 3군 사이에만 유의한 차이를 보였고 pO2, pCO2, HCO3등의 다른 가스분석값에 있어서는 각 군에 유의한 차이가 없었다.

연구 결론 
2회 이상의 경부 제대륜은 분만과정 및 신생아 예후에 영향을 미치므로 경부제대륜의 유무 및 횟수를 산전에 진단하여 적절한 치료를 함으로써 산모 및 태아 안녕에 도움이 되리라 기대된다.

이 글에 좋아요를 표시한 회원

podragon [2015-07-28 16:22]  apple1831 [2014-12-03 16:50]  한개야 [2014-11-08 17:24]  꽃마리 [2014-07-22 18:01]  

본 글은 아래 보관함에서 추천하였습니다.

스마트폰 모드|진오비 산부인과

© 2005-2026 gynob clinic

빠른 답글 맨위로 목록으로 돌아가기