태아의 위장은 대개 임신 14주 이후에 보이기 시작하지만 간이나 비장, 담낭, 장 같은 장기는 좀더 지나야 확인이 가능해서 임신 2삼분기 (임신 14주 이후)나 마지막 삼분기(28주 이후)에 관찰이 쉽습니다.
태아의 위장이 보이지 않을 경우에는 식도 폐쇄증이나 횡경막 탈장 또는 복벽 기형, 음식을 삼킬 수 없는 신경학적 이상 등이 있을 수 있기 때문에 처음의 초음파 검사에서 위장이 보이지 않으면 검사를 반복해서 반드시 확인을 해야 합니다.
태아의 장 초음파상 음영은 임신 시기에 따라 변화되는데 임신이 진행될수록 좀더 밝아지기는 하는데 지나치게 밝아지는(초음파 검사에서 하얗게 보인다는 뜻) 경우에는 태아가 양수 내 혈액 성분을 삼켜서이거나 또는 태아 기형, 태아 감염이 있는 경우, 염색체의 이상, 낭성 섬유화 등 여러가지 원인이 있을 수 있으며 염색체 이상을 확인하기 위하여 때로 양수 검사를 고려하기도 합니다.

태아의 복부 이상은 여러가지가 있을 수 있는데 그 중 초음파로 관찰이 쉬운 이상은 복벽의 이상입니다.
이런 복벽의 이상은 임신 중기가 되면  확인할 수 있는데 그리 드문 기형은 아니면 초음파로는 복벽이 잘 연결되고 있는지 탯줄의 기시 부위는 정상인지를 봅니다.
아래는 몇가지 태아 복부의 이상들입니다.

위벽 열구 (Gastrocshisis)
복벽의 일부가 전혀 형성되지 않아서  태아의 장이나 간 등 내부 장기가 양수 내로 빠져 나오는 기형입니다.
이 기형은 염색체 이상과 동반되는 경우가 종종 있으며 비교적 드문 기형으로 생존율은 90% 정도 됩니다.

배꼽 탈장 (Omphalocele)
Omphalo라는 것은 대지의 중심이라는 뜻도 있고 배꼽이라는 뜻도 있습니다.
이 기형은 태아의 장기가 복막으로 둘러 쌓인채 양수내로 돌출된 기형입니다.
약 반수에서는 염색체 기형이 동반이 되며 태아의 예후는 장기가 빠져 나온 정도와 동반 기형의 유무에 따라 다른데  오히려 복막의 완전  형성로 장이 양수 내로 둥둥 떠다녀서 심각한 이상으로 보이는 위벽 열구보다 나쁜 것으로 알려져 있습니다.

위장관 폐쇄증 (Gastrointestinal Atresia)
식도나 십이지장 혹은 소장에서 막히는 근위부 폐쇄증이 흔하고 이때는 태아가 양수를 삼켜 흡수하기 어렵기 때문에 양수과다증이 동반되는 경우가 많습니다.
식도 폐쇄가 있는 경우에는 위장이 보이지 않으며 약 반수에서 동반 기형이 있으며 20%에서는  염색체 이상이 있고 심장 기형도 종종 동반되는 편입니다.
십이지장 폐쇄는 출생아 10,000 명당 한명 꼴로 발생한다고 해서 그리 흔한 것은 아니며 이때는  초음파상 double-bubble sign이라고 해서 위와 십이지장 초반부가 크게 부풀어 올라 2개의 검은 풍선처럼 보이기 때문에 쉽게 진단이 됩니다.
대장 폐쇄나 항문 폐쇄는 양수 과소증도 뚜렷하지 않고 장의 팽창도 심하지 않은 경우가 많아 진단이 조금은 더 어려운 편이며 항문 폐쇄증이 있는 경우에는 천골 (꼬리뼈) 바로 앞의 직장이 커져 있는 모습으로 나타납니다.

이런 위장관 기형의 경우 치료 방침에 대하여는 다소간 이견이 있는데 조기 분만을 시켜서 치료를 하자는 주장, 뱃속의 태아를 대상으로 하는 태아 치료를 하자는 주장, 또는 만삭까지 유지 시킨 후 제왕절개를 해서 출산한 후 치료를 하자는 주장 등 다양한데 치료의 방침은 이상의 정도와 내용, 동반 기형의 유무, 태아 발육 상태 등을 고려해서 판단하게 됩니다.



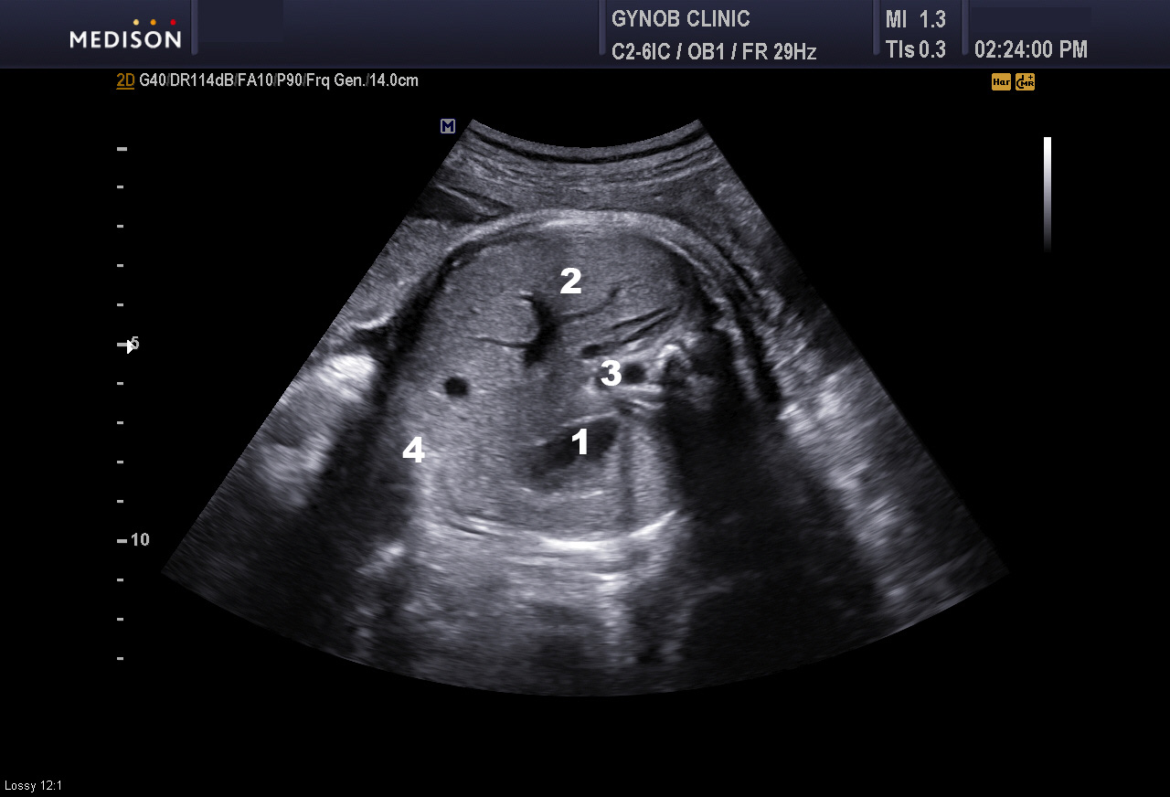
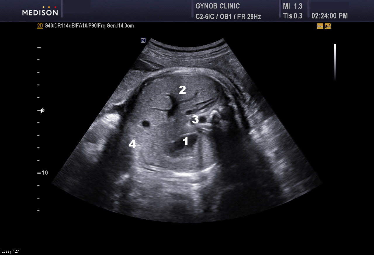
참고로 위의 사진은 저희 병원에서 찍은 사진으로 정상 복부 초음파의 소견입니다.
태아는 성인과 다르게 복부가 타원형이기보다 양수에 떠 있고 한 이유 등으로 거의 동그란 원형에 가깝습니다.
사진에 나타낸 숫자는 아래의 장기에 해당합니다.
1번: 위장
2번: 간
3번: 대동맥
4번: 복벽

본 글은 아래 보관함에서 추천하였습니다.

스마트폰 모드|진오비 산부인과

© 2005-2026 gynob clinic

빠른 답글 맨위로 목록으로 돌아가기