사랑과 정성으로 소망 하신 임신을 축하드립니다.
진오비 직원 모두 진심으로 축하드립니다.
건강한 모습으로 저희 병원에서 출산 하는 모습도 뵈었으면 좋겠습니다.

- 진오비 산부인과 난임센터 -
#2 김지연 등록시간 2013-04-01 10:56 |이 글쓴이 글만 보기
정말 축하드립니다.. 얼마나 기다렸던 아이인지 저희 모두 잘 알고 있습니다.
어머니 눈물 또한 기억하고 있는 저로써는 정말 기쁘기 그지 없습니다.
엄마처럼 이쁜 아가가 오려고 했나봅니다.  정말 축하드립니다.
엄마 닮은 이쁜 공주님도 좋고..꽃미남 왕자님도 좋을꺼 같습니다.
태교 잘 하세요...
#3 최진이 등록시간 2013-04-01 13:15 |이 글쓴이 글만 보기
임신 축하드립니다 ^^
저 역시 기쁘고 왠지 초음파 사진을 보는데 뭉클해지네요 ..
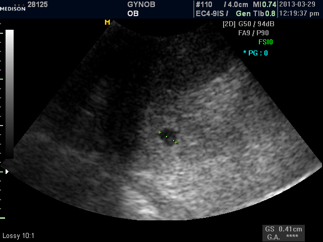
유난히 아기집도 예쁘게 보입니다
건강 잘 관리하시고 태교도 잘하세요
축하합니다
#4 천서영 등록시간 2013-04-01 13:22 |이 글쓴이 글만 보기
임신축하드려요!!
엄마 닮은 이쁜아기가 태어나길 바래봅니다.^^
5# 한경희 등록시간 2013-04-01 13:46 |이 글쓴이 글만 보기
정말 기다리고 기다리던 반가운 임신소식이네요..
환자분은 아직도 실감이 안 난다고 하셨는데요..
엄마분처럼 예쁜 아기가 오려고 엄마분을 힘들게 했던것 같아요..
예쁜게 잘 자라서 엄마 분만하시는 모습을 봤으면 좋겠어요^^
6# 이수진 등록시간 2013-04-01 19:54 |이 글쓴이 글만 보기
아기 집 보인다는 소식을 건너 듣고, 어찌나 기쁘던지!
이렇게 축하의 인사를 드릴 수 있게 되어서 또 어찌나 감사한지!
배가 불러올 모습을 감히 혼자 상상해 봤답니다.:lol
매일 주사맞는게 힘드시겠지만 기운내세요!!!
우리의 아가가 쿵덕쿵덕 심장소리를 힘차게 들려줄때까지는 맞으셔야 할꺼예요!! ^-^ 멋져요!
7# 오현경 등록시간 2013-04-03 16:08 |이 글쓴이 글만 보기
임신 축하드립니다.

기다림이 큰 만큼 예쁜아기가 엄마아빠를 찾아왔을거라 생각합니다.

설레이고 기쁜마음도 크겠지만 담담해보이는 엄마얼굴로
그간 얼마나 마음고생하셨을까 생각이 듭니다.

이제 예쁜아기집도 보이니, 아침마다 뵙는 얼굴에 조금 더 웃으셔도 좋을것 같아요.

태교 잘하시고, 건강하게 출산까지 도와드릴수 있으면 좋겠어요.

축하드려요!:D

스마트폰 모드|진오비 산부인과

© 2005-2026 gynob clinic

빠른 답글 맨위로 목록으로 돌아가기