본원에서는 난임 여성을 위한 검사 결과를 검사 결과 게시판에 올려드립니다.
또한 초음파 검사를 하신 분 중에서도 정지 영상 이미지를 게시판에서 보시길 원하시는 분은 말씀하시면 게시판에 올려 드리며 산모들의 경우 동영상도 원하시는 분은 올려 드립니다.

이런 검사 결과나 영상은 비밀번호를 통하여 본인만 볼 수 있으며 비밀번호는 본인의 주민번호 뒤 4자리입니다.
다른 비밀번호로 설정하고자 하시는 분은 병원의 접수나 게시판을 통하여 알려 주시면 바꾸어드립니다.

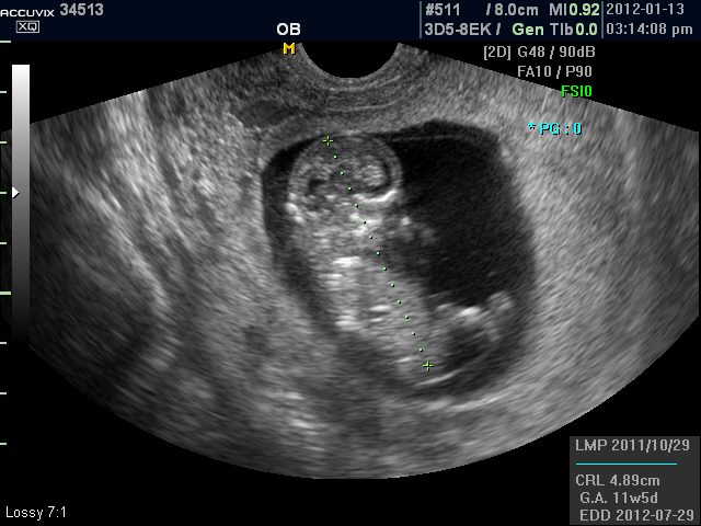
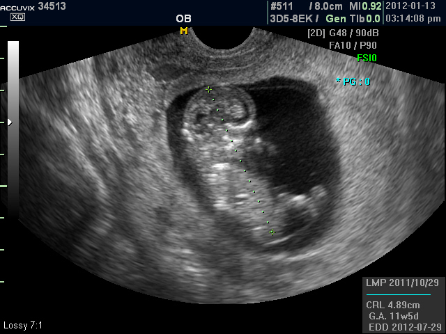
위 사진은 본원에서 찍은 임신 초음파로 12주 된 태아의 2차원 이미지와 입체 모습입니다.

스마트폰 모드|진오비 산부인과

© 2005-2026 gynob clinic

빠른 답글 맨위로 목록으로 돌아가기