|
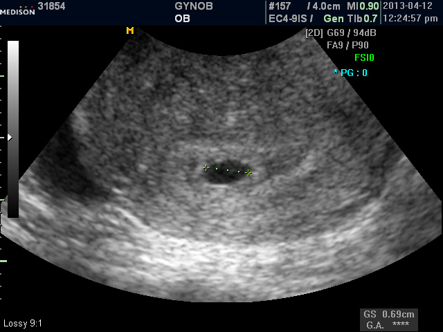
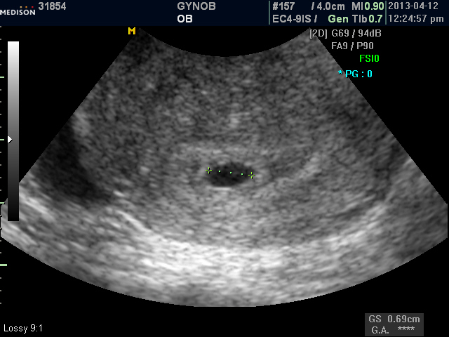
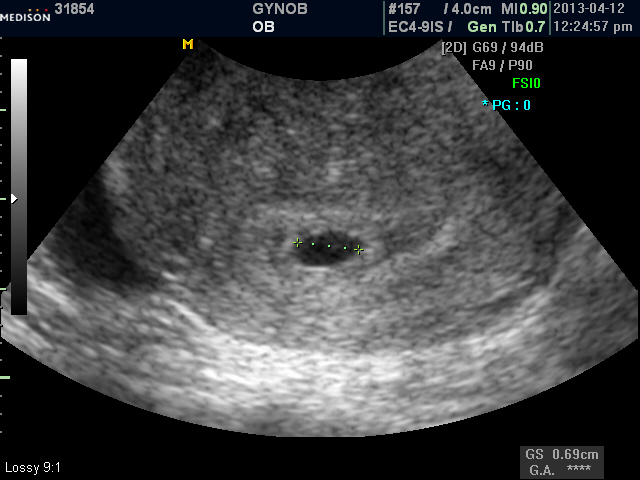
정말 오랫동안 저희와 함께 했는데 이쁜 아가가 찾아 왔네요.. 진심으로 축하드립니다. 며칠 전에 초음파로 아기집을 확인하시고 "선생님, 되었어요.." 하고 저희 손을 잡아 주실 때 정말이지 눈물이 왈칵 쏟아지더군요.. 제가 오히려 고맙다라는 말을 하고 싶었는데.. 오랫동안 포기 하지 않으시고 저희와 함께 해주셔서 감사합니다. 이제 아가 보러 오신다고 생각하니 기분이 한결 더 좋습니다. 태교 잘 하시고 저희 병원에서 이쁜 아가 모습 보여 주세요.. |

팔로우
보관함
공유
즐겨찾기
추천
반대
라이저 아이템
탑 카드 아이템
사일런트 아이템
노이즈 아이템
칼라 아이템
포스트 탑 아이템
매직 거울 아이템