며칠 전 저희 병원에서는  처음으로 산전 초음파 검사를 하신 분의 초음파 소견에서 양막대라는 것이 관찰되었습니다.
그래서 그분이나 다른 분들께 참고가  되시도록 간단하게 내용을 올려 드립니다.

양막은 태아를 둘러싸고 있으면서 양수가 새지 않도록 감싸고 있는 막입니다.
이 양막은 임신 초기를 지나면서 태반과 밀착한 상태로 있다가 출산시 파수가 되면서 태반과 함께 떨어져 나오게 됩니다.
그러나 간혹 임신 중에 이 양막의 일부가 끈처럼 되어 남아 있는 경우가  있는데 이것을 양막대 증후군이라고 부릅니다.
이 양막대가 왜 생기는지는 아직 정확히 알려져 있지는 않습니다.
생식 플라즈마라는 것의 국소적 형성 장애로 인한 것이라는 설도 있고  조기 양막 파열로 인한 것이라는 의견도 있으나 그 어느 것도 확실한 것은 아닙니다.

양막대 증후군의 발생율은 대략 출생아 1200명당 1명 꼴인 것으로 알려져 있고 자연 유산의  한 원인으로 보기도 합니다.
때때로 곡반족이나 구순열 등 다른 기형이 동반되는 경우도 있지만 그 발생율은 보고자들마다 천차만별입니다.
이 양막대는 대부분의 경우 태아의 발육이나 출산 과정에 문제를 초래하지 않지만  간혹 다음과 같은 문제를 초래할 수가 있습니다.

양막대 증후군으로 인한 문제
1. 태아의 사지 절단
2. 사지 말단 부종
3. 사지 말단 위축링

양막대 증후군의 진단과 치료
너무 작을 때는 알기 어렵지만 어느 정도 큰 양막대는 초음파 검사를 통하여 쉽게 진단이 될 수 있습니다.
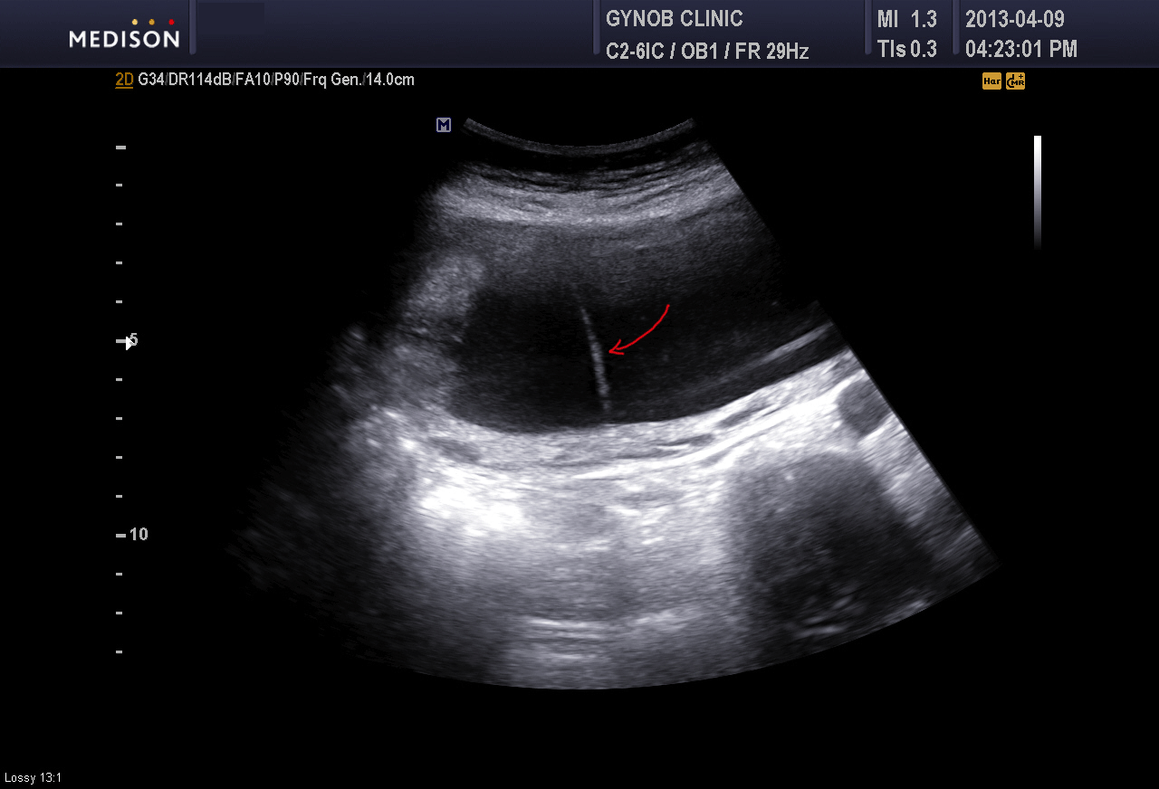
아래 그림은 저희 병원에서 찍은 초음파 사진으로 빨간 화살표로 표시한 부분이 양막대입니다.



양막대 증후군으로 하여 태아의 사지에 이상이 생긴 경우 성형 수술 외에는 방법이 없지만 간혹 임신 중의 태아에게 자궁내 치료를 시도하는 경우는 있습니다.
다만 이는  탯줄이나 중요 장기가 감겨 있어 태아 생존이 어려울 것으로 판단되는 경우에만 시도하며 현재로서는  그리 흔한 시술은 아닙니다.

양막대는 우연히 발생하는 사건으로 보이며 유전성은 없는 것으로 판단하고 있기 때문에 다음 임신에서 재발 위험이 더 높은 것으로 알려져 있지는 않습니다.
다만 원인을 모르기 때문에 현재로서는 발생치 않도록 미리 예방하는 방법은 없습니다.

본 글은 아래 보관함에서 추천하였습니다.

스마트폰 모드|진오비 산부인과

© 2005-2026 gynob clinic

빠른 답글 맨위로 목록으로 돌아가기