최근 며칠 사이에 저희 병원에서 진찰 받으시던 산모 중 두 분의 산모를 세브란스 병원으로 이송을 하였습니다.
한분은 먼저 진찰에서도 조금 그렇기는 했지만 며칠 전 초음파 검사에서 양수양이 상당히 적은 양수 과소증(양수 점수인 AFI가  5점이하 수준)으로 판단되어 아기의 건강이 다소 위협 받고 있는 상황일 가능성이 있어서 이송한 경우였습니다.
다행히 아기 발육은 괜찮은 편이었지만 양수의 양은 아기의 건강을 나타내주는 지표 중의 하나이기도 하고 또 양수가 적으면 진통 중 탯줄이 눌리거나 하여 태아 곤란증에 빠지기도 해서 양수양이 너무 적은 것은 그리 좋은 신호는 아닙니다.
그래서 양수 과소증이 발견되면 태아의 성장을 감안하여 결정하기는 하지만 대체로 빨리 출산을 하는 것이 원칙이라 유도분만을 하게 됩니다.
유도 분만을 할 경우 양수 과소증 때문에 제왕절개 수술을 해야 하는 빈도는 그렇지 않은 산모에 비하여 5배 정도 높은 것으로 알려져 있습니다.
양수 과소증의 원인으로는 이전 글 "양수 과소증이란" (http://gynob.kr/thread-728-1-1.html) 을 참고해 보시면 아시겠지만 몇가지 원인이 있는데 원인이 발견될 경우 해당 질환을 교정하면 좋아지기도 하지만 대개는 원인을 못 찾는 경우가 많습니다.
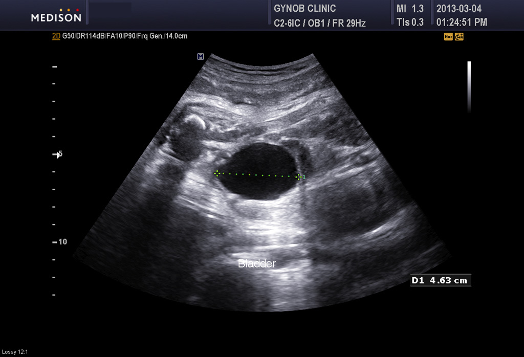
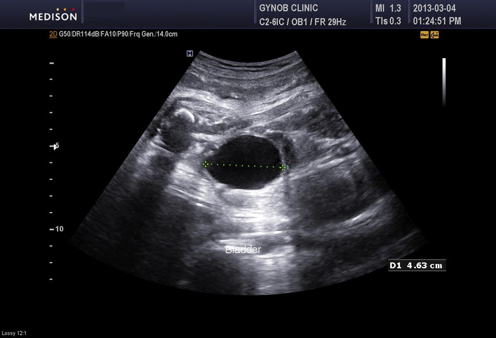
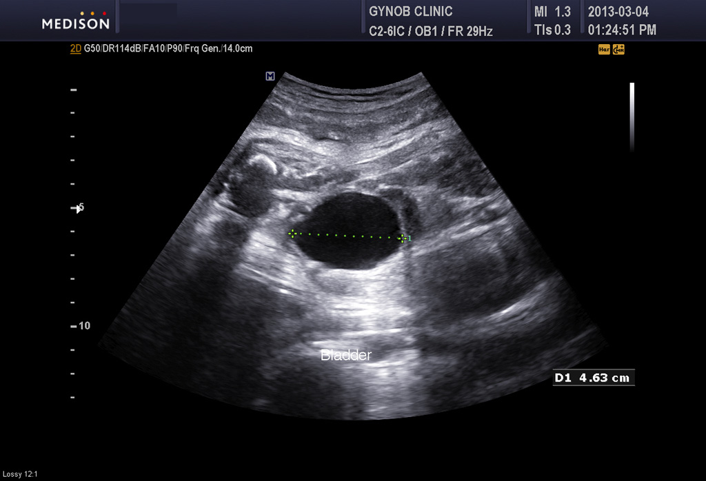
그런데 그 산모는 초음파 검사상 태아의 방광이 수시간 동안이나 비워지지 않고 꽉 찬 상태로 보여 혹시 태아의 비뇨기 계통의 기형인 "요관 말단 판막 (posterior urethral valve)"이라고 하는 기형이 있지 않은가 하는 의심이 들었습니다.

요관 말단 판막은 그리 흔한 기형은 아니지만 남자 아기에게서 주로 생기고 방광의 소변이 원활하게 체외로 나오지 못하는 기형입니다.
따라서 그런 기형이 있을 경우 방광은 많이 커지고 양수는 줄어들게 됩니다.
콩팥도 영향을 받는 경우가 많은데 그 산모의 태아는 콩팥은 이상이 없어 보였지만 경미한 타입의 판막증에서는 그럴 수도 있기 때문에 태아의 건강을 생각하여 산모와 상의하여 대학 병원에서 출산하기로 결정을 하였습니다.
이송한 세브란스에서는 요도 말단 판막의 가능성은 별로 없지만 양소 과소증이 있으니  출산 예정일 무렵인 삼사일 뒤에 유도 분만을 하기로 한 것으로 알고 있었습니다.
어제 전화해 보니 다행히 유도 분만을 하기로 예정한 전날 자연적인 진통이 와서 순산을  하셨다고 합니다.
산모와 아기 모두 건강하고 아기도 다행히 요도 말단 판막이라는 기형도 없이 소변도 잘 본다고 하는군요.
지나고 나서 추측하기로는 태반 노화증이 좀 심했는데 그것 때문에 양수가 적었던 것 아닌가 하는 생각이 듭니다.
여하튼 초음파상 요도 말단 판막이 있을지도 모르겠다고 한 제 판단이나 양수 과소증 때문에 제왕절개를 하게 될 가능성이 높다고 생각한 제 예상은 틀렸지만 그래도 산모와 아기가 다 건강하고 더군다나 자연분만까지 했다고 하니 기분은 오히려 좋습니다.
아래 사진은 그 산모분의 산전 진찰시 초음파 사진인데 위는 양소 과소증을 나타내 주는 사진이고 아래는 태아 방광의 사진입니다.






또 다른 한 산모는 태동이 없고 태동 검사에서 이상이 있어서 세브란스 병원으로 이송한 산모입니다.
산전 진찰 동안 아무 문제가 없던 산모였는데 전날부터 갑자기 태동이 없다고 하여 병원에 오셔서  태동 검사를 시행하였더니 태동 검사 (정확히는 비자극 스트레스 검사)에서 이상 소견이 있었습니다.
태동 검사에 대한 자세한 내용은 이전 글 "태아의 건강을 평가하는 여러 방법들" (http://gynob.kr/thread-727-1-1.html)을 참고하시면 되는데 이 산모의 경우 태아 심박의 횟수는 정상 범위였지만 건강한 태아에서 흔히 보이는 변동성(variability)이 거의 없었습니다.
즉 태아의 심음은 대개의 경우 150이 평균이라면 135, 160, 140,150, 155, 130, 150, 160 그런 식으로 다소 불규칙한 양상을 보이는데 이것은 태아가 환경에 대하여 반응성이 좋다는 의미로 건강하다고 보는 소견입니다.
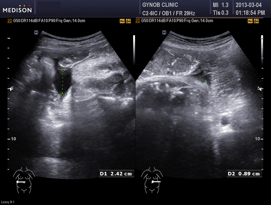
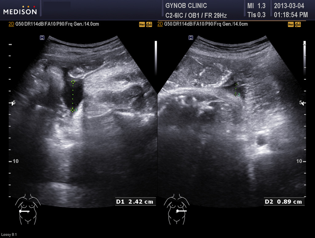
아래가 그 산모의 태동 검사 사진인데 위 쪽 부분에 일직선으로 평탄하게 나오는 것이 태아의 심박수를 체크한 그래프이고 아래에 평탄하다가 중간에 두번의 산처럼 보이는 것은 자궁 수축을 기록한 것입습니다.
자궁 수축이야 약한 수축 2번이라 생리적인 것으로 별 문제가 없지만 태아 심박수가 151회 정도 수준에서 거의 변화가 없이 평탄한 것은 성인이라면 당연한 것이지만 태아에게는 그리 좋지 않은 소견입니다. 



더군다나 유두 마사지를 해서 자궁 수축을 유발하여 태아의 심박수 변화를 보는  "유두 자극 검사"에서는 약간의 태아 심음 저하까지 있고 산모가 태동을 못 느끼더라도 초음파 상에는 태아가 입술 움직임이나 손발가락 움직임, 그리고 호흡 운동으로 보는 흉곽 운동 정도는 보이는 경우가 대부분인데 그런 것도 전혀 없었습니다.
그래서 고민 끝에 아기의 건강이 다소 위협 받고 있는 상황일 수 있다고 판단하고 비록 예정일이 한달이나 남아 있지만 세브란스 병원으로 이송하여 유도분만이든 제왕절개든 하기로 하고 어제 밤에 세브란스 병원 산부인과 교수님께 연락을 드려 이송을 하였습니다.
산모는 몇 시간 후 제왕절개로 수술하여 출산하였다고 하며 아기는 심박동은 정상이지만 예상대로 자가 호흡이 없어 신생아 중환자실에서 호흡기를 달고 있다고 합니다.
아기가 다른 내부적 이상이 없다면 적절한 치료를 통해 호흡 기능도 돌아오고 건강하게 회복되겠지요.
아니 회복 되기를 간절히 바랍니다.
걱정이 많으실 산모께  이송하면서  "태동 검사가 100% 정확한 것은 아니니 너무 걱정할 것은 없습니다. 제 판단이 틀려서 아기도 건강히 잘 울고 한데 괜히 번거롭게 대학병원으로 옮겨 출산하고 제왕절개까지 하게 되었다고 원망을 하시게 될 수도 있습니다. 저로서는 오판을 했다고 원망을 듣더라도 차라리 그랬으면 좋겠습니다. 가셔서 진찰 잘 받고 조리 잘 하세요."라고 말씀드렸습니다.

요즘 초음파 검사나 태동 검사에 대하여 왜 해야 하는지 잘 모르겠고, 검사도 지나치게 자주 하는 것은 아닌지 생각하시는 분들이 종종 있는 것 같습니다.
사실 해로울 것은 없다고 해도 우리나라는 초음파 검사를 많이 하는 나라에 속해 있고 태동 검사도 그리 정확한 검사가 아니라 이 검사가 도입된 이후 필요없는 제왕절개 수술이 많이 늘어나기도  했습니다.
그리고 첫번째 경우처럼 양수 과소증이라고 하는 초음파 소견과 아기 건강 간에 직접 관계가 없는 경우도 있고 심지어는 요도 말단 밸브라고 잘못 판단한 저처럼 오진을 하기도 합니다.
그러나 만일에 있을 지도 모르는 그래서 조속한 조치가 필요한 경우들이 초음파 검사나 태동 검사와 같은  현대의학적 검사 방법들이 없었다면 발견되기 어려운 경우도 적지 않습니다.

모든 검사에는 이득과 손해가 있습니다.
위와 같은 검사로 인하여 입게 될 경제적 혹은 시간적 손해, 그리고 때로 오진으로 인한 과도한 처치 (제왕절개 수술 같은 것)라는 손해가 없지 않지만 그런 손해에도 불구하고 얻게 되는 태아의 건강과 안전의 확보라고 하는 득은 결코 작은 것이 아닙니다.
두 산모의 경우를 보면서 산부인과에서 하는 검사의 의미들에 대하여  생각해 보시는 기회가 되었으면 좋겠습니다.

지금 입원해 있는 산모와 아기가 하루 빨리 아무 탈없이 건강하게 회복되어 퇴원하시게 되길 빕니다.

이 글에 좋아요를 표시한 회원

shangrila [2014-05-19 22:05]  

스마트폰 모드|진오비 산부인과

© 2005-2026 gynob clinic

빠른 답글 맨위로 목록으로 돌아가기