임신 중기의 초음파에서는 아기의 크기, 심장 박동이나 활동의 정도, 각종 장기의 구성이 정상인가 하는 것을 살펴 보게 됩니다.
태아의 대부분 장기는 임신 중기에는 이미 다 형성이 되고 이때부터는 크기가 커지면서 기능이 갖추어지는 시기입니다.
따라서 가장 여러가지 소견을 자세히 살펴 보아야 하는 시기에 해당하며 기형아 검사라고 하는 혈액 검사나 양수 검사도 보통 이 시기에 하게 됩니다.

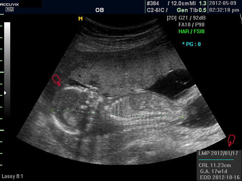
우선 초음파 사진에서 볼 것은 태아의 크기가 정상인가 하는 것입니다.
보통 태아의 발육은 머리부터 엉덩이까지의 크기인 CRL(Crown Rump Length의 약자)이 정상인가 하는 것과 태아의 두상 크기인 BPD(BiParietal Diameter의 약자)가 정상 범위에 들어 있는가 하는 것으로 판단합니다.
임신 중반기의 후기와 임신 후반기에 살펴보는 태아 체중은 아직 작아서 큰 의미가 없는 시기입니다.



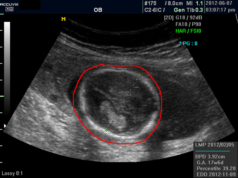
화면에서 좌측이 태아 머리 부분으로 빨간 펜으로 표시되어 있습니다.
초음파 상 태아의 머리가 좌측인가 우측인가 하는 것은 초음파 탐촉자의 위치를 어디에 두었느냐에 따라 다른 것 뿐으로 화면상 어디 위치하는 지는 중요하지 않습니다.
또한 이 시기는 태아의 크기가 양수에 비하여 아직 작기 때문에 자궁 내에서 하루에도 수십번 이리저리 방향을 바꾸는 시기이기 때문에 위치는 큰 의미가 없습니다.



태아의 머리가 정상 모양인가 크기는 정상인가 하는 것을 살펴 본 후에는 태아의 크기를 측정하고 가슴, 복부, 엉덩이 부분, 상하지 부분이 정상인가 하는 것을 살펴 봅니다.
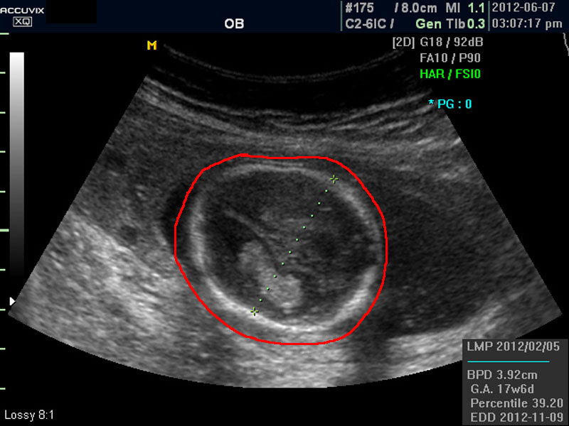
위 사진에서 빨간 동그라미로 표시한 부분이 태아의 머리를 위에서 내려다 본 수평 단면입니다.
하얗게 보이는 것은 뼈이고 내부에 검게 보이는 것은 뇌실에 고인 척수액 부분이며 내부의 하얀 부분은 뇌조직과 뇌실 내 맥락막이라고 하는 것입니다.



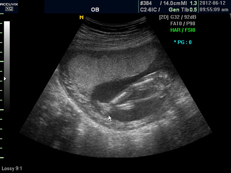
위 사진은 태아의 발바닥 사진인데 사진에서 보는 것처럼 그러나 이 시기는 손가락이나 발가락 또는  심장 내부의 구성 이상 등의 세세한 부분은 아직 크기가 작아서 제대로 확인하기 어려운 시기입니다.

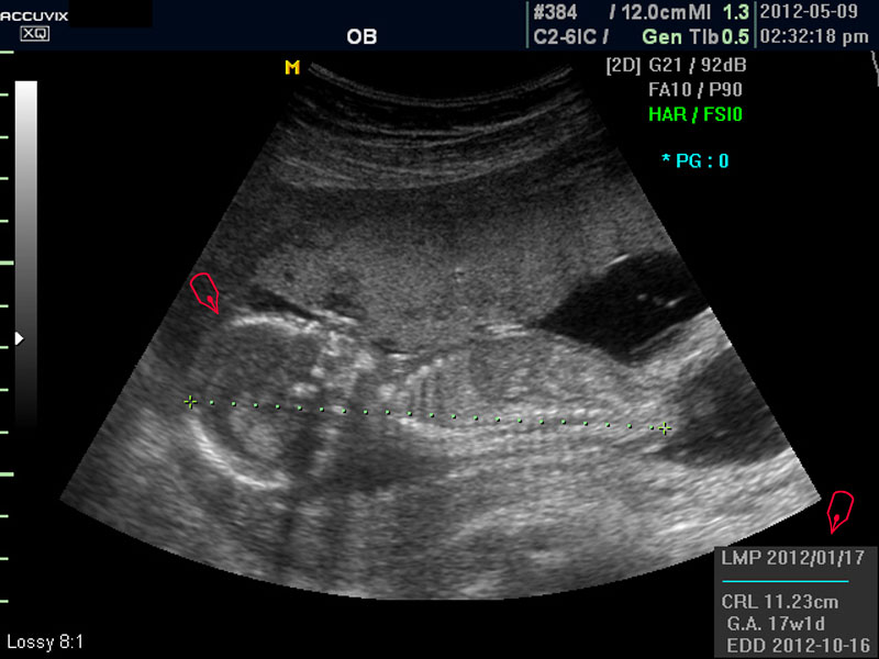
대신 첫번째 사진에서 보는 것처럼 태아의 전체 모습 특히 태아의 등쪽이나 복벽의 이상은 없는지 신경관 결손 등으로 인한 종괴가 있지는 않은지 관찰하며 태아의 복벽이나 등쪽은 일직선으로 매끈하게 보이는 것이 정상입니다.
첫번째 사진에서는 하지 부분은 대퇴부만 일부 보이며 이는 태아가 다리를 구부리고 있고 팔도 이리저리 움직여 머리 위나 목 쪽으로 두는 경우가 많아서 한번에 전체 모습을 찍기가 어려운 경우가 많습니다.
따라서 부분 부분 살펴 보면서 해당 모습을 찍어서 저장하거나 인쇄하여 드리기도 하는 것이며 아래 사진은 태아의 다리 부분을 찍은 것입니다.



모든 사진에서 우측 하단에는 기본적인 발육 정보가 기록되는데 세번째 사진에서 빨간 펜으로 표시한 부분이며 그 내용의 의미는 아래와 같습니다.
참고로 이런 측정 수치가 나타나는 양식이나 위치는 초음파 장비마다 다르지만 용어는 대체로 공통된 의학 용어를 사용하기 때문에 대동소이합니다.

1. LMP
Last Menstrual Period의 약자로 최종 월경일입니다. 이런 최종 월경일을 바탕으로 현재의 임신 주수와 초음파상 측정 지표들간에 얼마나 괴리 되어 있나 하는 것을 판단하는 것입니다.
2. CRL
위에 말한 태아 크기를 말하는 지표로 실제 수치가 표시됩니다.
3. GA
Gestational Age의 약자로 우리말로는 임신 주기라고 하며 CRL이나 BPD등을 기준으로 했을때 임신 몇주 며칠에 해당하는 지 나타낸 것입니다.
4. BPD
Biparietal Diameter의 약자로 머리를 위에서 보아서 양쪽 옆통수에서 반대쪽 옆통수까지의 길이입니다.
이는 임신 중기부터 후기까지 태아의 발육을 판단하는 중요한 지표이며 태아의 체중을 예측하는 데 쓰이는 지표 중 하나입니다.
5.EDD
Estimated Due Date의 약자로 초음파 측정치를 바탕으로 산출한 출산 예정일입니다.

태아에 대한 관찰이 끝나면 태반의 위치와 양수의 양을 살펴 보는데 아직 태반의 위치는 고정된 것이 아니라 크게 의미는 없지만 이때부터의 위치는 대체로 임신 후반까지 크게 바뀌는 것은 아니며 또한 완전 전치 태반과 같은 경우는 임신 중기부터 출혈등의 증상이 나타날 수 있어 관찰이 필요한 대상입니다.
화면에서는 위쪽에 하얗게 균일하게 보이는 것이 태반의 모습입니다.
태반은 실제로 보면 피자처럼 둥그런 원판 모양이며 임신 후기로 갈수록 태아와 마찬가지로 크기가 커지고 두꺼워집니다.

양수의 양은 태아의 건강과 관련된 지표로 너무 많거나 너무 적으면 좋지 않은데 그 절대양을 측정할 수는 없어서 양수가 많은 부분의 깊이를 측정하거나 혹은 개략적으로 전체에서 차지하는 부분을 봐서 이상 여부를 판단합니다.
사진에서 검게 보이는 것이 양수입니다. 양수에 대하여는 색깔이나 밀도 등 다른 요소는 알기 어려워서 그 양만 가지고 판단을 하게 됩니다.
임신 초기나 중기의 양수 이상 중에는  대체로 태아의 건강 이상으로 인한 양소 과소증이 더 많은 편입니다.

이 글에 좋아요를 표시한 회원

kmyps777 [2025-02-24 10:29]  podragon [2015-03-11 18:17]  

스마트폰 모드|진오비 산부인과

© 2005-2026 gynob clinic

빠른 답글 맨위로 목록으로 돌아가기